别名:ESR1; Era; Eralpha; Estrogen receptor; Estradiol receptor; ER-alpha; Estrogen receptor 1; NR3A1; ER; ESR; ESRA; Estrogen receptor alpha应用:WB,IHC,ICC
反应种属:Human
规格:50μl/100μl
| Description |
|---|
| ER (estrogen receptor 1) a member of the steroid receptor superfamily, contains highly conserved DNA binding (DBD) and ligand binding domains (LBD). Through its estrogen-independent and estrogen-dependent activation domains (AF-1 and AF-2, respectively), ER regulates transcription by recruiting coactivator proteins and interacting with general transcriptional machinery. Phosphorylation provides an important mechanism to regulate ER activity. ER is phosphorylated on multiple sites. |
| Specification | |
|---|---|
| Aliases | ESR1; Era; Eralpha; Estrogen receptor; Estradiol receptor; ER-alpha; Estrogen receptor 1; NR3A1; ER; ESR; ESRA; Estrogen receptor alpha |
| Entrez GeneID | 2099 |
| Swissprot | P03372 |
| WB Predicted band size | Calculated MW: 66 kDa; Observed MW: 66 kDa |
| Host/Isotype | Rabbit IgG |
| Storage | Store at 4°C short term. Aliquot and store at -20°C long term. Avoid freeze/thaw cycles. |
| Species Reactivity | Human |
| Immunogen | Synthetic peptide of human ESR1 |
| Formulation | Liquid in PBS containing 50% glycerol, 0.5% BSA and 0.02% sodium azide, pH 7.3. |
| Application | |
|---|---|
| WB | 1/500-1/1000 |
| IHC | 1/50-1/100 |
| ICC | 1/100-1/200 |
![]() |
Western blot analysis of Phospho-Estrogen Receptor alpha (Ser118) in MDAMB435 lysates using Phospho-Estrogen Receptor alpha (Ser118) antibody. |
![]() |
Immunofluorescence analysis of Phospho-Estrogen Receptor alpha (Ser118) in MCF-7 cells using Estrogen Receptora(Phospho-Ser118) antibody(red). |
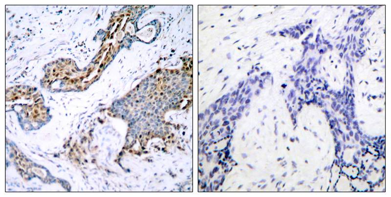
![]() |
Immunohistochemistry analysis of paraffin-embedded Human breast carcinoma tissue using Estrogen Receptora(Phospho-Ser118) antibody.High-pressure and temperature Sodium Citrate pH 6.0 was used for antigen retrieval. Sample with blocking peptide on the right. |
本公司的所有产品仅用于科学研究或者工业应用等非医疗目的,不可用于人类或动物的临床诊断或治疗,非药用,非食用。
暂无评论
本公司的所有产品仅用于科学研究或者工业应用等非医疗目的,不可用于人类或动物的临床诊断或治疗,非药用,非食用。
中文



发表回复