别名:Fibroblast growth factor receptor substrate 2; FGFR substrate 2; FGFR-signaling adaptor SNT; Suc1-associated neurotrophic factor target 1; SNT-1应用:WB,IHC
反应种属:Human
规格:50μl/100μl
| Description |
|---|
| Adapter protein that links FGR and NGF receptors to downstream signaling pathways. Involved in the activation of MAP kinases. Modulates signaling via SHC1 by competing for a common binding site on NTRK1. |
| Specification | |
|---|---|
| Aliases | Fibroblast growth factor receptor substrate 2; FGFR substrate 2; FGFR-signaling adaptor SNT; Suc1-associated neurotrophic factor target 1; SNT-1 |
| Entrez GeneID | 10818 |
| Swissprot | Q8WU20 |
| WB Predicted band size | Calculated MW: 57 kDa; Observed MW: 65 kDa |
| Host/Isotype | Rabbit IgG |
| Storage | Store at 4°C short term. Aliquot and store at -20°C long term. Avoid freeze/thaw cycles. |
| Species Reactivity | Human |
| Immunogen | Synthetic peptide of human FRS2 |
| Formulation | Liquid in PBS containing 50% glycerol, 0.5% BSA and 0.02% sodium azide, pH 7.3. |
| Application | |
|---|---|
| WB | 1/500-1/1000 |
| IHC | 1/50-1/100 |
![]() |
Western blot analysis of Phospho-FRS2 (Tyr436) in HUVEC lysates using Phospho-FRS2 (Tyr436) antibody. |
![]() |
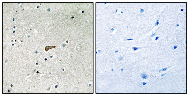
Immunohistochemistry analysis of paraffin-embedded Human brain tissue using FRS2 (Phospho-Tyr436) antibody.High-pressure and temperature Sodium Citrate pH 6.0 was used for antigen retrieval. Sample with blocking peptide on the right. |
本公司的所有产品仅用于科学研究或者工业应用等非医疗目的,不可用于人类或动物的临床诊断或治疗,非药用,非食用。
暂无评论
本公司的所有产品仅用于科学研究或者工业应用等非医疗目的,不可用于人类或动物的临床诊断或治疗,非药用,非食用。
中文


发表回复