别名:Serine/threonine-protein kinase GSK3A应用:WB,IHC,ICC
反应种属:Human,Mouse,Rat
规格:50μl/100μl
| Description |
|---|
| GSK3A a proline-directed protein kinase of the GSK family. Implicated in the control of several regulatory proteins including glycogen synthase, Myb, and c-Jun. GSK3 and GSK3 have similar functions. GSK3 phophorylates tau, the principal component of neurofibrillary tangles in Alzheimer disease and is required for maximal production of amyloid plaque peptides by secretase. |
| Specification | |
|---|---|
| Aliases | Serine/threonine-protein kinase GSK3A |
| Entrez GeneID | 2931 |
| Swissprot | P49840 |
| WB Predicted band size | Calculated MW: 51 kDa; Observed MW: 46,51 kDa |
| Host/Isotype | Rabbit IgG |
| Storage | Store at 4°C short term. Aliquot and store at -20°C long term. Avoid freeze/thaw cycles. |
| Species Reactivity | Human,Mouse,Rat |
| Immunogen | Synthetic peptide of human GSK3A |
| Formulation | Liquid in PBS containing 50% glycerol, 0.5% BSA and 0.02% sodium azide, pH 7.3. |
| Application | |
|---|---|
| WB | 1/500-1/1000 |
| IHC | 1/50-1/100 |
| ICC | 1/100-1/200 |
![]() |
Western blot analysis of Phospho-GSK3 (Tyr279/Tyr216) in 293 lysates using Phospho-GSK3 alpha/beta (Tyr279/Tyr216) antibody. |
![]() |
Immunofluorescence analysis of Phospho-GSK3 (Tyr279/Tyr216) in Hela cells using GSK3a/b(Phospho-Tyr279/216) antibody(red). |
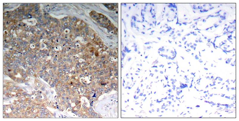
![]() |
Immunohistochemistry analysis of paraffin-embedded Human breast carcinoma tissue using Phospho-GSK3 (Tyr279/Tyr216) antibody.High-pressure and temperature Sodium Citrate pH 6.0 was used for antigen retrieval. Sample with blocking peptide on the right. |
本公司的所有产品仅用于科学研究或者工业应用等非医疗目的,不可用于人类或动物的临床诊断或治疗,非药用,非食用。
暂无评论
本公司的所有产品仅用于科学研究或者工业应用等非医疗目的,不可用于人类或动物的临床诊断或治疗,非药用,非食用。
中文



发表回复