别名:HD5; NY-CO-9应用:WB,IHC
反应种属:Human,Mouse
规格:50μl/100μl
| Description |
|---|
| Responsible for the deacetylation of lysine residues on the N-terminal part of the core histones (H2A, H2B, H3 and H4). Histone deacetylation gives a tag for epigenetic repression and plays an important role in transcriptional regulation, cell cycle progression and developmental events. Histone deacetylases act via the formation of large multiprotein complexes. Involved in muscle maturation by repressing transcription of myocyte enhancer MEF2C. During muscle differentiation, it shuttles into the cytoplasm, allowing the expression of myocyte enhancer factors. Involved in the MTA1-mediated epigenetic regulation of ESR1 expression in breast cancer. |
| Specification | |
|---|---|
| Aliases | HD5; NY-CO-9 |
| Entrez GeneID | 10014 |
| Swissprot | Q9UQL6 |
| WB Predicted band size | Calculated MW: 122 kDa; Observed MW: 122 kDa |
| Host/Isotype | Rabbit IgG |
| Storage | Store at 4°C short term. Aliquot and store at -20°C long term. Avoid freeze/thaw cycles. |
| Species Reactivity | Human,Mouse |
| Immunogen | Synthetic peptide of human HDAC5 |
| Formulation | Liquid in PBS containing 50% glycerol, 0.5% BSA and 0.02% sodium azide, pH 7.3. |
| Application | |
|---|---|
| WB | 1/500-1/1000 |
| IHC | 1/50-1/100 |
![]() |
Western blot analysis of Phospho-HDAC5 (Ser498) in 293 lysates using Phospho-HDAC5 (Ser498) antibody. |
![]() |
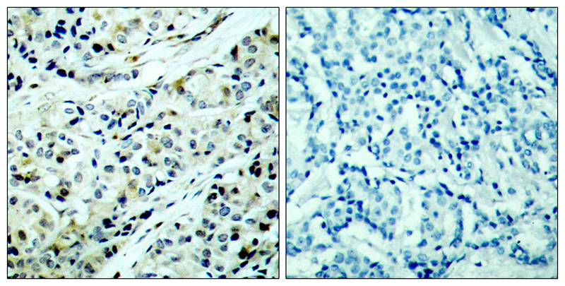
Immunohistochemistry analysis of paraffin-embedded Human breast carcinoma tissue using HDAC5(Phospho-Ser498) antibody.High-pressure and temperature Sodium Citrate pH 6.0 was used for antigen retrieval. Sample with blocking peptide on the right. |
本公司的所有产品仅用于科学研究或者工业应用等非医疗目的,不可用于人类或动物的临床诊断或治疗,非药用,非食用。
暂无评论
本公司的所有产品仅用于科学研究或者工业应用等非医疗目的,不可用于人类或动物的临床诊断或治疗,非药用,非食用。
中文


发表回复