别名:CHUK; IKKA; TCF16; Inhibitor of nuclear factor kappa-B kinase subunit alpha; I-kappa-B kinase alpha; IKK-A; IKK-alpha; IkBKA; IkappaB kinase; Conserved helix-loop-helix ubiquitous kinase; I-kappa-B kinase 1; IKK1; Nuclear factor NF-kappa-B应用:WB,IHC
反应种属:Human,Mouse,Rat
规格:50μl/100μl
| Description |
|---|
| Plays an essential role in the NF-kappa-B signaling pathway which is activated by multiple stimuli such as inflammatory cytokines, bacterial or viral products, DNA damages or other cellular stresses. Activation of IKK depends upon phosphorylation at Ser177 and Ser181 in the activation loop of IKKβ (Ser176 and Ser180 in IKKα), which causes conformational changes, resulting in kinase activation. |
| Specification | |
|---|---|
| Aliases | CHUK; IKKA; TCF16; Inhibitor of nuclear factor kappa-B kinase subunit alpha; I-kappa-B kinase alpha; IKK-A; IKK-alpha; IkBKA; IkappaB kinase; Conserved helix-loop-helix ubiquitous kinase; I-kappa-B kinase 1; IKK1; Nuclear factor NF-kappa-B |
| Entrez GeneID | 1147 |
| Swissprot | O15111 |
| WB Predicted band size | Calculated MW: 85 kDa; Observed MW: 85 kDa |
| Host/Isotype | Rabbit IgG |
| Storage | Store at 4°C short term. Aliquot and store at -20°C long term. Avoid freeze/thaw cycles. |
| Species Reactivity | Human,Mouse,Rat |
| Immunogen | Synthetic peptide of human CHUK |
| Formulation | Liquid in PBS containing 50% glycerol, 0.5% BSA and 0.02% sodium azide, pH 7.3. |
| Application | |
|---|---|
| WB | 1/500-1/1000 |
| IHC | 1/50-1/100 |
![]() |
Western blot analysis of Phospho-IKK alpha (Thr23) in 293 lysates using Phospho-IKK alpha (Thr23) antibody. |
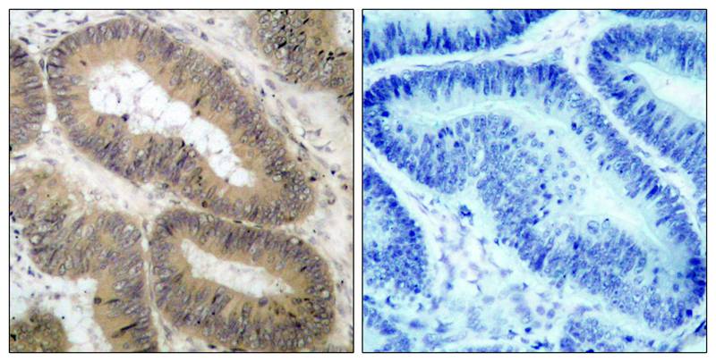
![]() |
Immunohistochemistry analysis of paraffin-embedded Human colon carcinoma tissue using IKK a(Phospho-Thr23) antibody.High-pressure and temperature Sodium Citrate pH 6.0 was used for antigen retrieval. Sample with blocking peptide on the right. |
本公司的所有产品仅用于科学研究或者工业应用等非医疗目的,不可用于人类或动物的临床诊断或治疗,非药用,非食用。
暂无评论
本公司的所有产品仅用于科学研究或者工业应用等非医疗目的,不可用于人类或动物的临床诊断或治疗,非药用,非食用。
中文


发表回复