别名:IKBKB; IKKB; Inhibitor of nuclear factor kappa-B kinase subunit beta; I-kappa-B-kinase beta; IKK-B; IKK-beta; IkBKB; I-kappa-B kinase 2; IKK2; Nuclear factor NF-kappa-B inhibitor kinase beta; NFKBIKB应用:WB,IHC
反应种属:Human,Mouse,Rat,Monkey
规格:50μl/100μl
| Description |
|---|
| The NF-κB/Rel transcription factors are present in the cytosol in an inactive state, complexed with the inhibitory IκB proteins (1-3). Most agents that activate NF-κB do so through a common pathway based on phosphorylation-induced, proteasome-mediated degradation of IκB (3-7). The key regulatory step in this pathway involves activation of a high molecular weight IκB kinase (IKK) complex whose catalysis is generally carried out by three tightly associated IKK subunits. |
| Specification | |
|---|---|
| Aliases | IKBKB; IKKB; Inhibitor of nuclear factor kappa-B kinase subunit beta; I-kappa-B-kinase beta; IKK-B; IKK-beta; IkBKB; I-kappa-B kinase 2; IKK2; Nuclear factor NF-kappa-B inhibitor kinase beta; NFKBIKB |
| Entrez GeneID | 3551 |
| Swissprot | O14920 |
| WB Predicted band size | Calculated MW: 87 kDa; Observed MW: 87 kDa |
| Host/Isotype | Rabbit IgG |
| Storage | Store at 4°C short term. Aliquot and store at -20°C long term. Avoid freeze/thaw cycles. |
| Species Reactivity | Human,Mouse,Rat,Monkey |
| Immunogen | The antiserum was produced against synthesized peptide derived from human IKK-beta around the phosphorylation site of Tyr188. AA range:161-210 |
| Formulation | Liquid in PBS containing 50% glycerol, 0.5% BSA and 0.02% sodium azide, pH 7.3. |
| Application | |
|---|---|
| WB | 1/500-1/1000 |
| IHC | 1/50-1/100 |
| ELISA | 1/10000 |
![]() |
EnzymeLinked Immunosorbent Assay (Phospho-ELISA) for Immunogen Phospho-peptide (Phospho-left) and NonPhospho-peptide (Phospho-right), using IKKbeta (Phospho-Tyr18antibody |
![]() |
Western blot analysis of Phospho-IKK beta (Tyr188) in COS7 lysates using Phospho-IKK beta (Tyr188) antibody.The lane on the right is blocked with the synthesized peptide. |
![]() |
Immunohistochemistry analysis of paraffin-embedded Human breast cancer using Phospho-IKK beta (Tyr188) antibody.High-pressure and temperature Tris-EDTA pH 8.0 was used for antigen retrieval.Sample with blocking peptide on the right. |
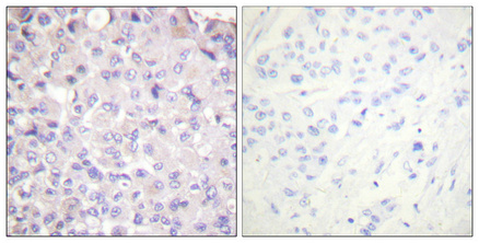
![]() |
Immunohistochemistry analysis of paraffin-embedded Human breast carcinoma using Phospho-IKK beta (Tyr188) antibody. High-pressure and temperature Sodium Citrate pH 6.0 was used for antigen retrieval.Sample with blocking peptide on the right. |
本公司的所有产品仅用于科学研究或者工业应用等非医疗目的,不可用于人类或动物的临床诊断或治疗,非药用,非食用。
暂无评论
本公司的所有产品仅用于科学研究或者工业应用等非医疗目的,不可用于人类或动物的临床诊断或治疗,非药用,非食用。
中文




发表回复