别名:IRS1; Insulin receptor substrate 1; IRS-1应用:WB,IHC
反应种属:Human,Mouse,Rat
规格:50μl/100μl
| Description |
|---|
| May mediate the control of various cellular processes by insulin. When phosphorylated by the insulin receptor binds specifically to various cellular proteins containing SH2 domains such as phosphatidylinositol 3-kinase p85 subunit or GRB2. Activates phosphatidylinositol 3-kinase when bound to the regulatory p85 subunit . |
| Specification | |
|---|---|
| Aliases | IRS1; Insulin receptor substrate 1; IRS-1 |
| Entrez GeneID | 3667 |
| Swissprot | P35568 |
| WB Predicted band size | Calculated MW: 132 kDa; Observed MW: 150 kDa |
| Host/Isotype | Rabbit IgG |
| Storage | Store at 4°C short term. Aliquot and store at -20°C long term. Avoid freeze/thaw cycles. |
| Species Reactivity | Human,Mouse,Rat |
| Immunogen | The antiserum was produced against synthesized peptide derived from human IRS-1 around the phosphorylation site of Ser639. AA range:605-654 |
| Formulation | Liquid in PBS containing 50% glycerol, 0.5% BSA and 0.02% sodium azide, pH 7.3. |
| Application | |
|---|---|
| WB | 1/500-1/1000 |
| IHC | 1/50-1/100 |
| ELISA | 1/10000 |
![]() |
Western blot analysis of Phospho-IRS1 (Ser639) in various lysates using Phospho-IRS1 (Ser639) antibody. |
![]() |
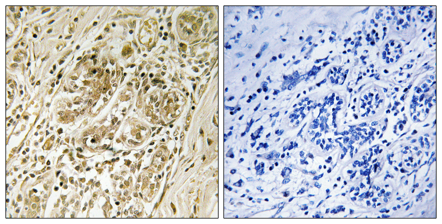
Immunohistochemistry analysis of paraffin-embedded Human breast carcinoma, using IRS1 (Phospho-Ser639) antibody.High-pressure and temperature Sodium Citrate pH 6.0 was used for antigen retrieval. Sample with blocking peptide on the right. |
本公司的所有产品仅用于科学研究或者工业应用等非医疗目的,不可用于人类或动物的临床诊断或治疗,非药用,非食用。
暂无评论
本公司的所有产品仅用于科学研究或者工业应用等非医疗目的,不可用于人类或动物的临床诊断或治疗,非药用,非食用。
中文


发表回复