别名:LIMK1; LIMK; LIM domain kinase 1; LIMK-1应用:WB,IHC,ICC
反应种属:Human,Mouse,Rat
规格:50μl/100μl
| Description |
|---|
| Protein kinase which regulates actin filament dynamics. Phosphorylates and inactivates the actin binding/depolymerizing factor cofilin, thereby stabilizing the actin cytoskeleton. Stimulates axonal outgrowth and may be involved in brain development. Isoform 3 has a dominant negative effect on actin cytoskeletal changes. |
| Specification | |
|---|---|
| Aliases | LIMK1; LIMK; LIM domain kinase 1; LIMK-1 |
| Entrez GeneID | 3984 |
| Swissprot | P53667 |
| WB Predicted band size | Calculated MW: 73 kDa; Observed MW: 73 kDa |
| Host/Isotype | Rabbit IgG |
| Storage | Store at 4°C short term. Aliquot and store at -20°C long term. Avoid freeze/thaw cycles. |
| Species Reactivity | Human,Mouse,Rat |
| Immunogen | Synthetic peptide of human LIMK1 |
| Formulation | Liquid in PBS containing 50% glycerol, 0.5% BSA and 0.02% sodium azide, pH 7.3. |
| Application | |
|---|---|
| WB | 1/500-1/1000 |
| IHC | 1/50-1/100 |
| ICC | 1/100-1/200 |
![]() |
Western blot analysis of Phospho-LIM Kinase 1 (Thr508) in C2C12, Hela, 293 lysates using Phospho-LIM Kinase 1 (Thr508) antibody. |
![]() |
Immunofluorescence analysis of Phospho-LIM Kinase 1 (Thr508) in Hela cells using LIMK1(Phospho-Thr508) antibody(red). |
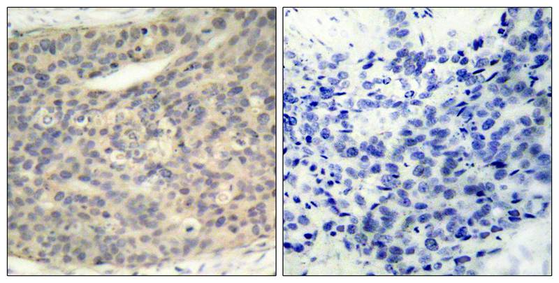
![]() |
Immunohistochemistry analysis of paraffin-embedded Human breast carcinoma tissue using LIMK1(Phospho-Thr508) antibody.High-pressure and temperature Sodium Citrate pH 6.0 was used for antigen retrieval. Sample with blocking peptide on the right. |
本公司的所有产品仅用于科学研究或者工业应用等非医疗目的,不可用于人类或动物的临床诊断或治疗,非药用,非食用。
暂无评论
本公司的所有产品仅用于科学研究或者工业应用等非医疗目的,不可用于人类或动物的临床诊断或治疗,非药用,非食用。
中文



发表回复