别名:MTOR; FRAP; FRAP1; FRAP2; RAFT1; RAPT1; Serine/threonine-protein kinase mTOR; FK506-binding protein 12-rapamycin complex-associated protein 1; FKBP12-rapamycin complex-associated protein; Mammalian target of rapamycin; mTOR; Mechanistic tar应用:WB,IHC
反应种属:Human,Mouse,Pig
规格:50μl/100μl
| Description |
|---|
| An atypical kinase belonging to the PIKK family of kinases. Controls cell growth through protein synthesis regulation. Downstream of PI3K/Akt pathway and required for cell survival. Acts as the target for the cell-cycle arrest and immunosuppressive effects of the FKBP12-rapamycin complex. |
| Specification | |
|---|---|
| Aliases | MTOR; FRAP; FRAP1; FRAP2; RAFT1; RAPT1; Serine/threonine-protein kinase mTOR; FK506-binding protein 12-rapamycin complex-associated protein 1; FKBP12-rapamycin complex-associated protein; Mammalian target of rapamycin; mTOR; Mechanistic tar |
| Entrez GeneID | 2475 |
| Swissprot | P42345 |
| WB Predicted band size | Calculated MW: 289 kDa; Observed MW: 289 kDa |
| Host/Isotype | Rabbit IgG |
| Storage | Store at 4°C short term. Aliquot and store at -20°C long term. Avoid freeze/thaw cycles. |
| Species Reactivity | Human,Mouse,Pig |
| Immunogen | A synthesized peptide derived from human Phospho-mTOR (S2448) |
| Formulation | Rabbit IgG in phosphate buffered saline , pH 7.4, 150mM NaCl, 0.02% sodium azide and 50% glycerol. |
| Application | |
|---|---|
| WB | 1/500-1/1000 |
| IHC | 1/50-1/100 |
![]() |
Western blot analysis of Phospho-mTOR (S2448) in HEK293 lysates using Phospho-mTOR (Ser2448) antibody. |
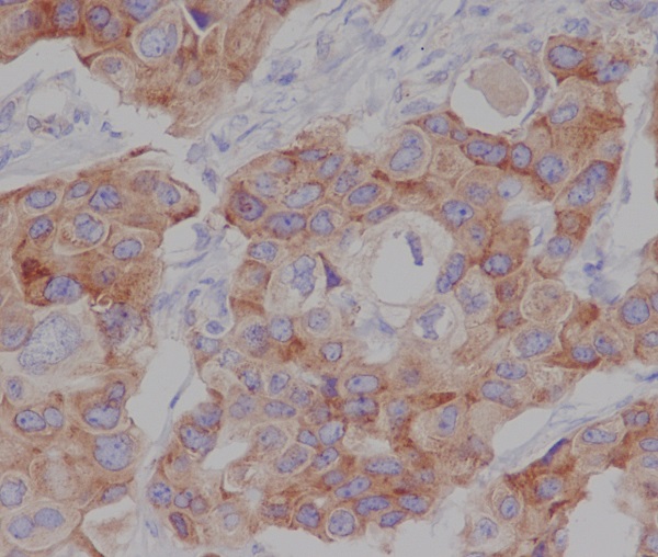
![]() |
Immunohistochemistry analysis of paraffin-embedded Human breast cancer using Phospho-mTOR (S2448) antibody.High-pressure and temperature Sodium Citrate pH 6.0 was used for antigen retrieval. |
本公司的所有产品仅用于科学研究或者工业应用等非医疗目的,不可用于人类或动物的临床诊断或治疗,非药用,非食用。
暂无评论
本公司的所有产品仅用于科学研究或者工业应用等非医疗目的,不可用于人类或动物的临床诊断或治疗,非药用,非食用。
中文


发表回复