别名:ADRB2; Alpha-PAK; CDC42/RAC effector kinase PAK-A; EC 2.7.11.1; P65-PAK; P68-PAK; PAK1 (phospho S144); PAK2 (phospho S141); PAK3 (phospho S154)应用:WB,IHC,ICC,FCM,IP
反应种属:Human,Mouse,Rat
规格:50μl/100μl
| Description |
|---|
| PAK proteins are critical effectors that link RhoGTPases to cytoskeleton reorganization and nuclear signaling. PAK proteins, a family of serine/threonine p21-activating kinases, include PAK1, PAK2, PAK3 and PAK4. |
| Specification | |
|---|---|
| Aliases | ADRB2; Alpha-PAK; CDC42/RAC effector kinase PAK-A; EC 2.7.11.1; P65-PAK; P68-PAK; PAK1 (phospho S144); PAK2 (phospho S141); PAK3 (phospho S154) |
| Entrez GeneID | 5063/5058/5062 |
| Swissprot | O75914/Q13153/Q13177 |
| WB Predicted band size | Calculated MW: 61 kDa; Observed MW: 65 kDa |
| Host/Isotype | Rabbit IgG |
| Storage | Store at 4°C short term. Aliquot and store at -20°C long term. Avoid freeze/thaw cycles. |
| Species Reactivity | Human,Mouse,Rat |
| Immunogen | A synthesized peptide derived from human Phospho-PAK1/2/3 (S144+S141+S139) |
| Formulation | Rabbit IgG in phosphate buffered saline , pH 7.4, 150mM NaCl, 0.02% sodium azide and 50% glycerol. |
| Application | |
|---|---|
| IP | 1/20 |
| WB | 1/500-1/1000 |
| IHC | 1/50-1/100 |
| ICC | 1/50-1/200 |
| FCM | 1/50-1/100 |
![]() |
Western blot analysis of Phospho-PAK1/2/3 in HeLa lysates treated with lambda phosphatase using Phospho-PAK1/2/3 (Ser144/Ser141/Ser154) antibody. |
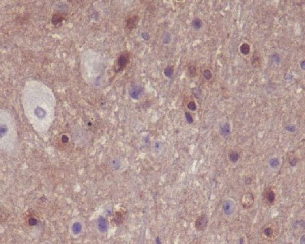
![]() |
Immunohistochemistry analysis of paraffin-embedded mouse brain using Phospho-PAK1/2/3 (S144+S141+S139) antibody.High-pressure and temperature Sodium Citrate pH 6.0 was used for antigen retrieval. |
本公司的所有产品仅用于科学研究或者工业应用等非医疗目的,不可用于人类或动物的临床诊断或治疗,非药用,非食用。
暂无评论
本公司的所有产品仅用于科学研究或者工业应用等非医疗目的,不可用于人类或动物的临床诊断或治疗,非药用,非食用。
中文


发表回复