别名:PDPK1; PDK1; 3-phosphoinositide-dependent protein kinase 1; hPDK1应用:WB,IHC,ICC
反应种属:Human,Mouse,Rat
规格:50μl/100μl
| Description |
|---|
| Phosphoinositide-dependent protein kinase 1 (PDK1) plays a central role in many signal transduction pathways including the activation of Akt and the PKC isoenzymes p70 S6 kinase and RSK. Through its effects on these kinases, PDK1 is involved in the regulation of a wide variety of processes, including cell proliferation, differentiation and apoptosis. |
| Specification | |
|---|---|
| Aliases | PDPK1; PDK1; 3-phosphoinositide-dependent protein kinase 1; hPDK1 |
| Entrez GeneID | 5170 |
| Swissprot | O15530 |
| WB Predicted band size | Calculated MW: 63 kDa; Observed MW: 63 kDa |
| Host/Isotype | Rabbit IgG |
| Storage | Store at 4°C short term. Aliquot and store at -20°C long term. Avoid freeze/thaw cycles. |
| Species Reactivity | Human,Mouse,Rat |
| Immunogen | Synthetic peptide of human PDPK1 |
| Formulation | Liquid in PBS containing 50% glycerol, 0.5% BSA and 0.02% sodium azide, pH 7.3. |
| Application | |
|---|---|
| WB | 1/500-1/1000 |
| IHC | 1/50-1/100 |
| ICC | 1/100-1/200 |
![]() |
Western blot analysis of Phospho-PDPK1 (Ser241) in 293, PC-12 lysates using Phospho-PDPK1 (Ser241) antibody. |
![]() |
Immunofluorescence analysis of Phospho-PDPK1 (Ser241) in Hela cells using PDK1(Phospho-Ser241) antibody(red). |
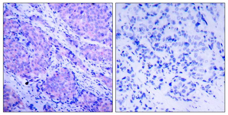
![]() |
Immunohistochemistry analysis of paraffin-embedded Human breast carcinoma tissue using PDK1(Phospho-Ser241) antibody.High-pressure and temperature Sodium Citrate pH 6.0 was used for antigen retrieval. Sample with blocking peptide on the right. |
本公司的所有产品仅用于科学研究或者工业应用等非医疗目的,不可用于人类或动物的临床诊断或治疗,非药用,非食用。
暂无评论
本公司的所有产品仅用于科学研究或者工业应用等非医疗目的,不可用于人类或动物的临床诊断或治疗,非药用,非食用。
中文



发表回复