别名:nPKC epsilon; PKCE; Pkcea; PRKCE; Protein kinase C epsilon; Protein kinase C epsilon type应用:WB,IHC
反应种属:Human,Mouse,Rat
规格:50μl/100μl
| Description |
|---|
| protein kinase C epsilon(PRKCE) Homo sapiens Protein kinase C (PKC) is a family of serine- and threonine-specific protein kinases that can be activated by calcium and the second messenger diacylglycerol. PKC family members phosphorylate a wide variety of protein targets and are known to be involved in diverse cellular signaling pathways. PKC family members also serve as major receptors for phorbol esters, a class of tumor promoters. Each member of the PKC family has a specific expression profile and is believed to play a distinct role in cells. The protein encoded by this gene is one of the PKC family members. |
| Specification | |
|---|---|
| Aliases | nPKC epsilon; PKCE; Pkcea; PRKCE; Protein kinase C epsilon; Protein kinase C epsilon type |
| Entrez GeneID | 5581 |
| Swissprot | Q02156 |
| WB Predicted band size | Calculated MW: 84 kDa; Observed MW: 84 kDa |
| Host/Isotype | Rabbit IgG |
| Storage | Store at 4°C short term. Aliquot and store at -20°C long term. Avoid freeze/thaw cycles. |
| Species Reactivity | Human,Mouse,Rat |
| Immunogen | Synthesized peptide derived from human PKC epsilon (Phospho-S729). AA range:688-737 |
| Formulation | Liquid in PBS containing 50% glycerol, 0.5% BSA and 0.02% sodium azide, pH 7.3. |
| Application | |
|---|---|
| WB | 1/500-1/1000 |
| IHC | 1/50-1/100 |
| ELISA | 1/10000 |
![]() |
Western blot analysis of Phospho-PKC epsilon (Ser729) in HeLa lysates using Phospho-PKC epsilon (Ser729) antibody. |
![]() |
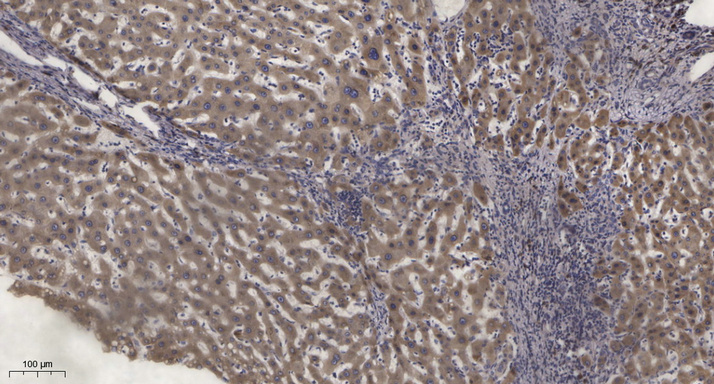
Immunohistochemistry analysis of paraffin-embedded Human Liver Cancer using Phospho-PKC epsilon (Ser729) antibody. High-pressure and temperature Tris-EDTA pH 9.0 was used for antigen retrieval. |
本公司的所有产品仅用于科学研究或者工业应用等非医疗目的,不可用于人类或动物的临床诊断或治疗,非药用,非食用。
暂无评论
本公司的所有产品仅用于科学研究或者工业应用等非医疗目的,不可用于人类或动物的临床诊断或治疗,非药用,非食用。
中文


发表回复