别名:PTEN; MMAC1; TEP1; Phosphatidylinositol 3; 4; 5-trisphosphate 3-phosphatase and dual-specificity protein phosphatase PTEN; Mutated in multiple advanced cancers 1; Phosphatase and tensin homolog应用:IHC,ICC
反应种属:Human,Mouse,Rat
规格:50μl/100μl
| Description |
|---|
| Tumor suppressor. Acts as a dual-specificity protein phosphatase, dephosphorylating tyrosine-, serine- and threonine-phosphorylated proteins. Also acts as a lipid phosphatase, removing the phosphate in the D3 position of the inositol ring from phosphatidylinositol 3,4,5-trisphosphate, phosphatidylinositol 3,4-diphosphate, phosphatidylinositol 3-phosphate and inositol 1,3,4,5-tetrakisphosphate with order of substrate preference in vitro PtdIns(3,4,5)P3 > PtdIns(3,4)P2 > PtdIns3P > Ins(1,3,4,5)P4. |
| Specification | |
|---|---|
| Aliases | PTEN; MMAC1; TEP1; Phosphatidylinositol 3; 4; 5-trisphosphate 3-phosphatase and dual-specificity protein phosphatase PTEN; Mutated in multiple advanced cancers 1; Phosphatase and tensin homolog |
| Entrez GeneID | 5728 |
| Swissprot | P60484 |
| Host/Isotype | Rabbit IgG |
| Storage | Store at 4°C short term. Aliquot and store at -20°C long term. Avoid freeze/thaw cycles. |
| Species Reactivity | Human,Mouse,Rat |
| Immunogen | Synthetic peptide of human PTEN |
| Formulation | Liquid in PBS containing 50% glycerol, 0.5% BSA and 0.02% sodium azide, pH 7.3. |
| Application | |
|---|---|
| IHC | 1/50-1/100 |
| ICC | 1/100-1/200 |
![]() |
Immunofluorescence analysis of Phospho-PTEN (Ser380) in Hela cells using PTEN (Phospho-Ser380) antibody,and DAPI (blue). |
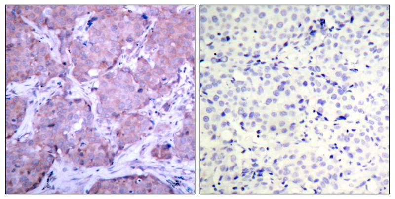
![]() |
Immunohistochemistry analysis of paraffin-embedded Human breast carcinoma tissue using Phospho-PTEN (Ser380) antibody.High-pressure and temperature Sodium Citrate pH 6.0 was used for antigen retrieval.Sample with blocking peptide on the right. |
本公司的所有产品仅用于科学研究或者工业应用等非医疗目的,不可用于人类或动物的临床诊断或治疗,非药用,非食用。
暂无评论
本公司的所有产品仅用于科学研究或者工业应用等非医疗目的,不可用于人类或动物的临床诊断或治疗,非药用,非食用。
中文


发表回复