别名:PTK2B; FAK2; PYK2; RAFTK; Protein-tyrosine kinase 2-beta; Calcium-dependent tyrosine kinase; CADTK; Calcium-regulated non-receptor proline-rich tyrosine kinase; Cell adhesion kinase beta; CAK-beta; CAKB; Focal adhesion kinase 2; FADK 2; Pro应用:WB,IHC,ICC
反应种属:Human,Mouse,Rat
规格:50μl/100μl
| Description |
|---|
| PYK2 a nonreceptor tyrosine kinase of the Fak family. Predominantly expressed in the cells derived from hematopoietic lineages and in the central nervous system. PYK2 is one of the signaling mediators for G-protein-coupled receptors. Involved in calcium induced regulation of ion channel and activation of the map kinase signaling pathway. Interacts with the SH2 domain of Grb2. |
| Specification | |
|---|---|
| Aliases | PTK2B; FAK2; PYK2; RAFTK; Protein-tyrosine kinase 2-beta; Calcium-dependent tyrosine kinase; CADTK; Calcium-regulated non-receptor proline-rich tyrosine kinase; Cell adhesion kinase beta; CAK-beta; CAKB; Focal adhesion kinase 2; FADK 2; Pro |
| Entrez GeneID | 2185 |
| Swissprot | Q14289 |
| WB Predicted band size | Calculated MW: 116 kDa; Observed MW: 116 kDa |
| Host/Isotype | Rabbit IgG |
| Storage | Store at 4°C short term. Aliquot and store at -20°C long term. Avoid freeze/thaw cycles. |
| Species Reactivity | Human,Mouse,Rat |
| Immunogen | Synthetic peptide of human PTK2B |
| Formulation | Liquid in PBS containing 50% glycerol, 0.5% BSA and 0.02% sodium azide, pH 7.3. |
| Application | |
|---|---|
| WB | 1/500-1/1000 |
| IHC | 1/50-1/100 |
| ICC | 1/100-1/200 |
![]() |
Western blot analysis of Phospho-PYK2 (Tyr402) in 293 lysates using Phospho-PYK2 (Tyr402) antibody. |
![]() |
Immunofluorescence analysis of Phospho-PYK2 (Tyr402) in Hela cells using Pyk2(Phospho-Tyr402) antibody(red). |
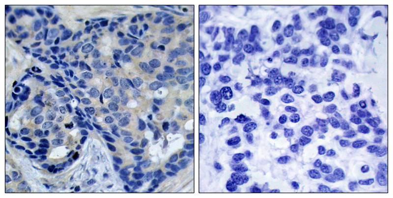
![]() |
Immunohistochemistry analysis of paraffin-embedded Human breast carcinoma tissue using Pyk2(Phospho-Tyr402) antibody.High-pressure and temperature Sodium Citrate pH 6.0 was used for antigen retrieval. Sample with blocking peptide on the right. |
本公司的所有产品仅用于科学研究或者工业应用等非医疗目的,不可用于人类或动物的临床诊断或治疗,非药用,非食用。
暂无评论
本公司的所有产品仅用于科学研究或者工业应用等非医疗目的,不可用于人类或动物的临床诊断或治疗,非药用,非食用。
中文



发表回复