别名:Retinoblastoma-associated protein, p105-Rb, pRb, Rb, pp110, RB1应用:WB,IHC
反应种属:Human
规格:50μl/100μl
| Description |
|---|
| Retinoblastoma (RB) is an embryonic malignant neoplasm of retinal origin. It almost always presents in early childhood and is often bilateral. Spontaneous regression (‘cure’) occurs in some cases. |
| Specification | |
|---|---|
| Aliases | Retinoblastoma-associated protein, p105-Rb, pRb, Rb, pp110, RB1 |
| Entrez GeneID | 5925 |
| Swissprot | P06400 |
| WB Predicted band size | 106.2kDa |
| Host/Isotype | Rabbit IgG |
| Storage | Store at 4°C short term. Aliquot and store at -20°C long term. Avoid freeze/thaw cycles. |
| Species Reactivity | Human |
| Immunogen | This RB Antibody is generated from rabbits immunized with a KLH conjugated synthetic phosphopeptide corresponding to amino acid residues surrounding S608 of human RB. |
| Formulation | Purified polyclonal antibody supplied in PBS with 0.05% sodium azide. This antibody is first purified by protein G affinity chromatography. Then, the antibody fraction is peptide affinity purified in a 2-step procedure with control and phosphorylated peptides. The phospho-specific antibody is eluted with high and low pH buffers and neutralized immediately, followed by dialysis against PBS. |
| Application | |
|---|---|
| WB | DB: 1/500 |
| IHC | 1/100-1/500 |
![]() |
Dot blot analysis of anti-Phospho-RB-S608 Antibody (Cat.#P30153) on nitrocellulose membrane. 50ng of Phospho-peptide or Non Phospho-peptide per dot were adsorbed. Antibody working concentrations are 0.5ug per ml. |
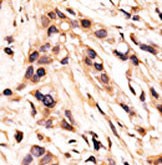
![]() |
Formalin-fixed and paraffin-embedded human cancer tissue reacted with the primary antibody, which was peroxidase-conjugated to the secondary antibody, followed by AEC staining. This data demonstrates the use of this antibody for immunohistochemistry; clinical relevance has not been evaluated. BC = breast carcinoma; HC = hepatocarcinoma. |
本公司的所有产品仅用于科学研究或者工业应用等非医疗目的,不可用于人类或动物的临床诊断或治疗,非药用,非食用。
暂无评论
本公司的所有产品仅用于科学研究或者工业应用等非医疗目的,不可用于人类或动物的临床诊断或治疗,非药用,非食用。
中文


发表回复