别名:Separin, Caspase-like protein ESPL1, Extra spindle poles-like 1 protein, Separase, ESPL1, ESP1, KIAA0165应用:WB,IHC
反应种属:Human
规格:50μl/100μl
| Description |
|---|
| The metaphase-to-anaphase transition is the final discrete event in duplication and separation of the genetic material of the cell. Its timing is regulated by the activation of the anaphase-promoting complex (APC). In both budding and fission yeast, the degradation of the Pds1 or Cut2 protein, respectively, is required for the onset of sister chromatid separation. Both proteins are APC substrates. Pds1 and Cut2 proteins associate with the yeast separin proteins Esp1 and Cut1, respectively, and prevent the separins from promoting chromatid separation. Pds1 and Cut2 are also called anaphase inhibitors or securins |
| Specification | |
|---|---|
| Aliases | Separin, Caspase-like protein ESPL1, Extra spindle poles-like 1 protein, Separase, ESPL1, ESP1, KIAA0165 |
| Entrez GeneID | 9700 |
| Swissprot | Q14674 |
| WB Predicted band size | 233.2kDa |
| Host/Isotype | Rabbit IgG |
| Storage | Store at 4°C short term. Aliquot and store at -20°C long term. Avoid freeze/thaw cycles. |
| Species Reactivity | Human |
| Immunogen | This SEPARIN Antibody is generated from rabbits immunized with a KLH conjugated synthetic phosphopeptide corresponding to amino acid residues surrounding S1126 of human SEPARIN. |
| Formulation | Purified polyclonal antibody supplied in PBS with 0.05% sodium azide. This antibody is purified through a protein A column, followed by peptide affinity purification. |
| Application | |
|---|---|
| WB | DB: 1/500 |
| IHC | 1/100-1/500 |
![]() |
Dot blot analysis of anti-hSeparase-S801 Phospho-specific Pab (Cat. #P30155) on nitrocellulose membrane. 50ng of nonphospho-peptide or phospho-peptide were adsorbed on their respective dots. Antibody working concentration was 0.5ug per ml. |
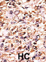
![]() |
Formalin-fixed and paraffin-embedded human cancer tissue reacted with the primary antibody, which was peroxidase-conjugated to the secondary antibody, followed by DAB staining. This data demonstrates the use of this antibody for immunohistochemistry; clinical relevance has not been evaluated. BC = breast carcinoma; HC = hepatocarcinoma. |
本公司的所有产品仅用于科学研究或者工业应用等非医疗目的,不可用于人类或动物的临床诊断或治疗,非药用,非食用。
暂无评论
本公司的所有产品仅用于科学研究或者工业应用等非医疗目的,不可用于人类或动物的临床诊断或治疗,非药用,非食用。
中文


发表回复