别名:Mothers against decapentaplegic homolog 4, MAD homolog 4, Mothers against DPP homolog 4, Deletion target in pancreatic carcinoma 4, SMAD family member 4, SMAD 4, Smad4, hSMAD4, SMAD4, DPC4, MADH4应用:WB,IHC,ICC
反应种属:Human, Mouse, Rat
规格:50μl/100μl
| Description |
|---|
| Common mediator of signal transduction by TGF-beta (transforming growth factor) superfamily, SMAD4 is the common SMAD (co-SMAD). It promotes binding of the SMAD2/SMAD4/FAST-1 complex to DNA and provides an activation function required for SMAD1 or SMAD2 to stimulate transcription. It may act as a tumor suppressor. |
| Specification | |
|---|---|
| Aliases | Mothers against decapentaplegic homolog 4, MAD homolog 4, Mothers against DPP homolog 4, Deletion target in pancreatic carcinoma 4, SMAD family member 4, SMAD 4, Smad4, hSMAD4, SMAD4, DPC4, MADH4 |
| Entrez GeneID | 4089 |
| Swissprot | Q13485 |
| WB Predicted band size | 60.4kDa |
| Host/Isotype | Rabbit IgG |
| Storage | Store at 4°C short term. Aliquot and store at -20°C long term. Avoid freeze/thaw cycles. |
| Species Reactivity | Human, Mouse, Rat |
| Immunogen | This SMAD4 Antibody is generated from rabbits immunized with a KLH conjugated synthetic phosphopeptide corresponding to amino acid residues surrounding T277 of human SMAD4. |
| Formulation | Purified polyclonal antibody supplied in PBS with 0.05% sodium azide. This antibody is purified through a protein A column, followed by peptide affinity purification. |
| Application | |
|---|---|
| WB | DB: 1/500 |
| IHC | 1/100-1/500 |
| ICC | 1/10-1/50 |
![]() |
Dot blot analysis of anti-Phospho-SMAD4-T277 Antibody on nitrocellulose membrane. 50ng of Phospho-peptide or Non Phospho-peptide per dot were adsorbed. Antibody working concentrations are 0.5ug per ml. |
![]() |
Western blot analysis of lysates from NIH/3T3 cell line, untreated or treated with λ phosphatase, using Phospho-SMAD4 Antibody (T277)(upper) or GAPDH (lower). |
![]() |
Confocal immunofluorescent analysis of Phospho-SMAD4-T277 Antibody(Cat#P30236) with Hela cell followed by Alexa Fluor 488-conjugated goat anti-rabbit lgG (green).DAPI was used to stain the cell nuclear (blue). |
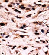
![]() |
Formalin-fixed and paraffin-embedded Breast Carcinoma reacted with SMAD4-T277 (center) (Cat.#P30236), which was peroxidase-conjugated to the secondary antibody, followed by DAB staining. This data demonstrates the use of this antibody for immunohistochemistry; clinical relevance has not been evaluated. |
本公司的所有产品仅用于科学研究或者工业应用等非医疗目的,不可用于人类或动物的临床诊断或治疗,非药用,非食用。
暂无评论
本公司的所有产品仅用于科学研究或者工业应用等非医疗目的,不可用于人类或动物的临床诊断或治疗,非药用,非食用。
中文




发表回复