别名:STMN1; C1orf215; LAP18; OP18; Stathmin; Leukemia-associated phosphoprotein p18; Metablastin; Oncoprotein 18; Op18; Phosphoprotein p19; pp19; Prosolin; Protein Pr22; pp17应用:WB,IHC
反应种属:Human,Mouse,Rat
规格:50μl/100μl
| Description |
|---|
| Involved in the regulation of the microtubule (MT) filament system by destabilizing microtubules. Prevents assembly and promotes disassembly of microtubules. Phosphorylation at Ser-16 may be required for axon formation during neurogenesis. Involved in the control of the learned and innate fear. |
| Specification | |
|---|---|
| Aliases | STMN1; C1orf215; LAP18; OP18; Stathmin; Leukemia-associated phosphoprotein p18; Metablastin; Oncoprotein 18; Op18; Phosphoprotein p19; pp19; Prosolin; Protein Pr22; pp17 |
| Entrez GeneID | 3925 |
| Swissprot | P16949 |
| WB Predicted band size | Calculated MW: 17 kDa; Observed MW: 17 kDa |
| Host/Isotype | Rabbit IgG |
| Storage | Store at 4°C short term. Aliquot and store at -20°C long term. Avoid freeze/thaw cycles. |
| Species Reactivity | Human,Mouse,Rat |
| Immunogen | Synthetic peptide of human STMN1 |
| Formulation | Liquid in PBS containing 50% glycerol, 0.5% BSA and 0.02% sodium azide, pH 7.3. |
| Application | |
|---|---|
| WB | 1/500-1/1000 |
| IHC | 1/50-1/100 |
![]() |
Western blot analysis of Phospho-Stathmin 1 (Ser25) in Jurkat lysates using Phospho-Stathmin 1 (Ser25) antibody. |
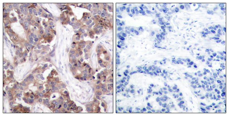
![]() |
Immunohistochemistry analysis of paraffin-embedded Human breast carcinoma tissue using Stathmin 1(Phospho-Ser25) antibody.High-pressure and temperature Sodium Citrate pH 6.0 was used for antigen retrieval. Sample with blocking peptide on the right. |
本公司的所有产品仅用于科学研究或者工业应用等非医疗目的,不可用于人类或动物的临床诊断或治疗,非药用,非食用。
暂无评论
本公司的所有产品仅用于科学研究或者工业应用等非医疗目的,不可用于人类或动物的临床诊断或治疗,非药用,非食用。
中文


发表回复