别名:SYK; Tyrosine-protein kinase SYK; Spleen tyrosine kinase; p72-Syk应用:WB,IHC
反应种属:Human,Mouse,Rat,Monkey
规格:50μl/100μl
| Description |
|---|
| This gene encodes a member of the family of non-receptor type Tyr protein kinases. This protein is widely expressed in hematopoietic cells and is involved in coupling activated immunoreceptors to downstream signaling events that mediate diverse cellular responses, including proliferation, differentiation, and phagocytosis. It is thought to be a modulator of epithelial cell growth and a potential tumour suppressor in human breast carcinomas. Alternatively spliced transcript variants encoding different isoforms have been found for this gene. |
| Specification | |
|---|---|
| Aliases | SYK; Tyrosine-protein kinase SYK; Spleen tyrosine kinase; p72-Syk |
| Entrez GeneID | 6850 |
| Swissprot | P43405 |
| WB Predicted band size | Calculated MW: 72 kDa; Observed MW: 72 kDa |
| Host/Isotype | Rabbit IgG |
| Storage | Store at 4°C short term. Aliquot and store at -20°C long term. Avoid freeze/thaw cycles. |
| Species Reactivity | Human,Mouse,Rat,Monkey |
| Immunogen | Synthetic peptide of human SYK |
| Formulation | Liquid in PBS containing 50% glycerol, 0.5% BSA and 0.02% sodium azide, pH 7.3. |
| Application | |
|---|---|
| WB | 1/500-1/1000 |
| IHC | 1/50-1/100 |
| ELISA | 1/10000 |
![]() |
Western blot analysis of Phospho-Syk (Tyr348) in 3T3 lysates using Phospho-Syk (Tyr348) antibody. |
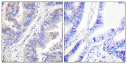
![]() |
Immunohistochemistry analysis of paraffin-embedded Human lung cancer using Phospho-Syk (Tyr348) antibody.High-pressure and temperature Sodium Citrate pH 6.0 was used for antigen retrieval. Sample with blocking peptide on the right. |
本公司的所有产品仅用于科学研究或者工业应用等非医疗目的,不可用于人类或动物的临床诊断或治疗,非药用,非食用。
暂无评论
本公司的所有产品仅用于科学研究或者工业应用等非医疗目的,不可用于人类或动物的临床诊断或治疗,非药用,非食用。
中文


发表回复