别名:TGFBR1; ALK5; SKR4; TGF-beta receptor type-1; TGFR-1; Activin A receptor type II-like protein kinase of 53kD; Activin receptor-like kinase 5; ALK-5; ALK5; Serine/threonine-protein kinase receptor R4; SKR4; TGF-beta type I receptor; Transfor应用:WB,IHC,ICC
反应种属:Human,Mouse,Rat
规格:50μl/100μl
| Description |
|---|
| The protein encoded by this gene forms a heteromeric complex with type II TGF-beta receptors when bound to TGF-beta, transducing the TGF-beta signal from the cell surface to the cytoplasm. The encoded protein is a serine/threonine protein kinase. |
| Specification | |
|---|---|
| Aliases | TGFBR1; ALK5; SKR4; TGF-beta receptor type-1; TGFR-1; Activin A receptor type II-like protein kinase of 53kD; Activin receptor-like kinase 5; ALK-5; ALK5; Serine/threonine-protein kinase receptor R4; SKR4; TGF-beta type I receptor; Transfor |
| Entrez GeneID | 7046 |
| Swissprot | P36897 |
| WB Predicted band size | Calculated MW: 56 kDa; Observed MW: 56 kDa |
| Host/Isotype | Rabbit IgG |
| Storage | Store at 4°C short term. Aliquot and store at -20°C long term. Avoid freeze/thaw cycles. |
| Species Reactivity | Human,Mouse,Rat |
| Immunogen | Synthetic peptide of human TGFBR1 |
| Formulation | Liquid in PBS containing 50% glycerol, 0.5% BSA and 0.02% sodium azide, pH 7.3. |
| Application | |
|---|---|
| WB | 1/500-1/1000 |
| IHC | 1/50-1/100 |
| ICC | 1/100-1/200 |
| ELISA | 1/10000 |
![]() |
Western blot analysis of Phospho-TGF beta Receptor I (Ser165) in mouse liver lysates using Phospho-TGF beta Receptor I (Ser165) antibody. |
![]() |
Immunofluorescence analysis of Phospho-TGF beta Receptor I (Ser165) in HepG2 cells using Phospho-TGF beta Receptor I (Ser165) antibody(green). |
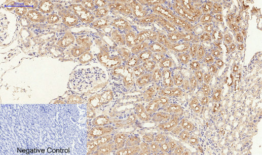
![]() |
Immunohistochemistry analysis of paraffin-embedded rat kidney tissue using Phospho-TGF beta Receptor I (Ser165) antibody.High-pressure and temperature Sodium Citrate pH 6.0 was used for antigen retrieval. |
本公司的所有产品仅用于科学研究或者工业应用等非医疗目的,不可用于人类或动物的临床诊断或治疗,非药用,非食用。
暂无评论
本公司的所有产品仅用于科学研究或者工业应用等非医疗目的,不可用于人类或动物的临床诊断或治疗,非药用,非食用。
中文



发表回复