别名:KDR; FLK1; VEGFR2; Vascular endothelial growth factor receptor 2; VEGFR-2; Fetal liver kinase 1; FLK-1; Kinase insert domain receptor; KDR; Protein-tyrosine kinase receptor flk-1; CD antigen CD309应用:WB,IHC,ICC
反应种属:Human,Mouse,Rat
规格:50μl/100μl
| Description |
|---|
| VEGFR-2 is a receptor tyrosine kinase of the VEGFR family. High affinity receptor for VEGF and VEGF-C. Ligand binding induces autophosphorylation and activation. Activated receptor recruits proteins including Shc, GRB2, PI3K, Nck, SHP-1 and SHP-2. |
| Specification | |
|---|---|
| Aliases | KDR; FLK1; VEGFR2; Vascular endothelial growth factor receptor 2; VEGFR-2; Fetal liver kinase 1; FLK-1; Kinase insert domain receptor; KDR; Protein-tyrosine kinase receptor flk-1; CD antigen CD309 |
| Entrez GeneID | 3791 |
| Swissprot | P35968 |
| WB Predicted band size | Calculated MW: 152 kDa; Observed MW: 230 kDa |
| Host/Isotype | Rabbit IgG |
| Storage | Store at 4°C short term. Aliquot and store at -20°C long term. Avoid freeze/thaw cycles. |
| Species Reactivity | Human,Mouse,Rat |
| Immunogen | Synthetic peptide of human KDR |
| Formulation | Liquid in PBS containing 50% glycerol, 0.5% BSA and 0.02% sodium azide, pH 7.3. |
| Application | |
|---|---|
| WB | 1/500-1/1000 |
| IHC | 1/50-1/100 |
| ICC | 1/100-1/200 |
![]() |
Western blot analysis of Phospho-VEGF Receptor 2 (Tyr1214) in mouse kidney, rat kidney lysates using Phospho-VEGF Receptor 2 (Tyr1214) antibody. |
![]() |
Immunofluorescence analysis of Phospho-VEGF Receptor 2 (Tyr1214) in MCF-7 cells using VEGFR2(Phospho-Tyr1214) antibody(red). |
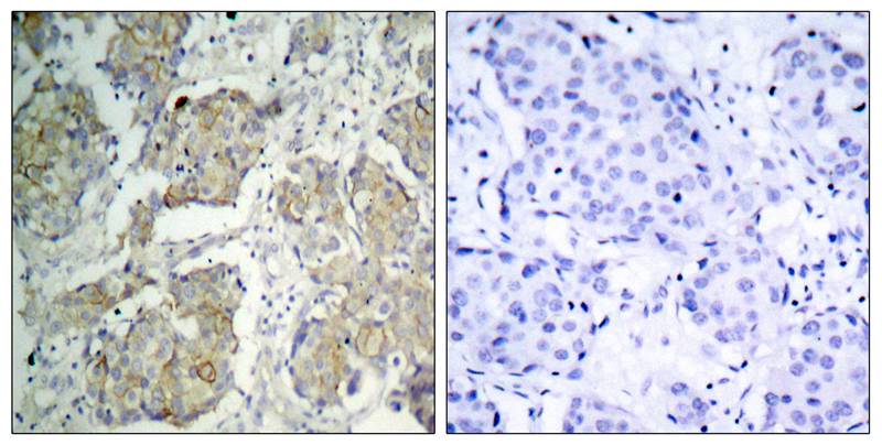
![]() |
Immunohistochemistry analysis of paraffin-embedded Human breast carcinoma tissue using VEGFR2(Phospho-Tyr1214) antibody.High-pressure and temperature Sodium Citrate pH 6.0 was used for antigen retrieval. Sample with blocking peptide on the right. |
本公司的所有产品仅用于科学研究或者工业应用等非医疗目的,不可用于人类或动物的临床诊断或治疗,非药用,非食用。
暂无评论
本公司的所有产品仅用于科学研究或者工业应用等非医疗目的,不可用于人类或动物的临床诊断或治疗,非药用,非食用。
中文



发表回复