别名:PHP; PHP14; CGI-202; HSPC141; HEL-S-132P应用:WB,IHC
反应种属:Human, Mouse
规格:50μl/100μl
| Description |
|---|
| This gene encodes an enzyme that catalyzes the reversible dephosphorylation of histidine residues in proteins. It may be involved in the dephosphorylation of G-beta and ATP citrate lyase and in negatively regulating CD4 T lymphocytes by dephosphorylation and inhibition of KCa3.1 channels. Alternative splicing results in multiple transcript variants. |
| Specification | |
|---|---|
| Aliases | PHP; PHP14; CGI-202; HSPC141; HEL-S-132P |
| Swissprot | Q9NRX4 |
| WB Predicted band size | 14 kDa |
| Host/Isotype | Rabbit IgG |
| Storage | Store at 4°C short term. Aliquot and store at -20°C long term. Avoid freeze/thaw cycles. |
| Species Reactivity | Human, Mouse |
| Immunogen | Fusion protein of human PHPT1 |
| Formulation | pH7.4 PBS, 0.05% NaN3, 40% Glycerol |
| Application | |
|---|---|
| WB | 1/1000-1/5000 |
| IHC | 1/200-1/300 |
| ELISA | 1/5000-1/10000 |
![]() |
Gel: 12%SDS-PAGE, Lysate: 40 μg, Lane: 231 cell lysate, Primary antibody: P03234(PHPT1 Antibody) at dilution 1/800, Secondary antibody: Goat anti rabbit IgG at 1/5000 dilution, Exposure time: 10 seconds |
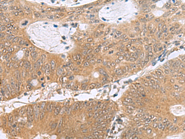
![]() |
The image is immunohistochemistry of paraffin-embedded Human colorectal cancer tissue using P03234(PHPT1 Antibody) at dilution 1/170. (Original magnification: ×200) |
![]() |
The image is immunohistochemistry of paraffin-embedded Human cervical cancer tissue using P03234(PHPT1 Antibody) at dilution 1/170. (Original magnification: ×200) |
本公司的所有产品仅用于科学研究或者工业应用等非医疗目的,不可用于人类或动物的临床诊断或治疗,非药用,非食用。
暂无评论
本公司的所有产品仅用于科学研究或者工业应用等非医疗目的,不可用于人类或动物的临床诊断或治疗,非药用,非食用。
中文



发表回复