别名:PIK3CD; Phosphatidylinositol 4; 5-bisphosphate 3-kinase catalytic subunit delta isoform; PI3-kinase subunit delta; PI3K-delta; PI3Kdelta; PtdIns-3-kinase subunit delta; Phosphatidylinositol 4; 5-bisphosphate 3-kinase 110 kDa catalytic subunit delta; PtdIns-3-kinase subunit p110-delta; p110delta应用:WB,IHC
反应种属:Human,Mouse
规格:50μl/100μl
| Description |
|---|
| Plays a key role by recruiting PH domain-containing proteins to the membrane, including AKT1 and PDPK1, activating signaling cascades involved in cell growth, survival, proliferation, motility and morphology. Mediates immune responses. Plays a role in B-cell development, proliferation, migration, and function. Required for B-cell receptor (BCR) signaling. |
| Specification | |
|---|---|
| Aliases | PIK3CD; Phosphatidylinositol 4; 5-bisphosphate 3-kinase catalytic subunit delta isoform; PI3-kinase subunit delta; PI3K-delta; PI3Kdelta; PtdIns-3-kinase subunit delta; Phosphatidylinositol 4; 5-bisphosphate 3-kinase 110 kDa catalytic subunit delta; PtdIns-3-kinase subunit p110-delta; p110delta |
| Entrez GeneID | 5293 |
| Swissprot | O00329 |
| WB Predicted band size | Calculated MW: 119 kDa; Observed MW: 119 kDa |
| Host/Isotype | Rabbit IgG |
| Storage | Store at 4°C short term. Aliquot and store at -20°C long term. Avoid freeze/thaw cycles. |
| Species Reactivity | Human,Mouse |
| Immunogen | The antiserum was produced against synthesized peptide derived from the N-terminal region of human PIK3CD. AA range:41-90 |
| Formulation | Liquid in PBS containing 50% glycerol, 0.5% BSA and 0.02% sodium azide, pH 7.3. |
| Application | |
|---|---|
| WB | 1/500-1/1000 |
| IHC | 1/50-1/100 |
| ELISA | 1/10000 |
![]() |
Western blot analysis of PI3 Kinase p110 delta in HepG2 lysates using PI3 Kinase p110 delta antibody. |
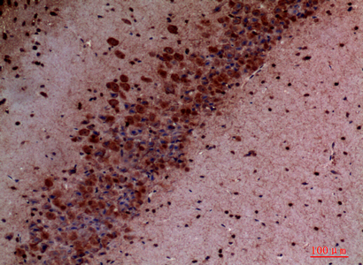
![]() |
Immunohistochemistry analysis of paraffin-embedded mouse brain using PI3 Kinase p110 delta antibody.High-pressure and temperature Sodium Citrate pH 6.0 was used for antigen retrieval. |
本公司的所有产品仅用于科学研究或者工业应用等非医疗目的,不可用于人类或动物的临床诊断或治疗,非药用,非食用。
暂无评论
本公司的所有产品仅用于科学研究或者工业应用等非医疗目的,不可用于人类或动物的临床诊断或治疗,非药用,非食用。
中文


发表回复