别名:PIBF, CEP90, C13orf24, RP11-505F3.1应用:WB,IHC
反应种属:Human
规格:50μl/100μl
| Description |
|---|
| Progesterone-induced-blocking factor 1 is a protein that in humans is encoded by the PIBF1 gene. It has been shown to localize to the centrosome and has also been named CEP90. Mediator of progesterone that by acting on the phospholipase A2 enzyme interferes with arachidonic acid metabolism, induces a Th2 biased immune response, and by controlling NK activity exerts an anti-abortive effect. |
| Specification | |
|---|---|
| Aliases | PIBF, CEP90, C13orf24, RP11-505F3.1 |
| Swissprot | Q8WXW3 |
| WB Predicted band size | 90 kDa |
| Host/Isotype | Rabbit IgG |
| Storage | Store at 4°C short term. Aliquot and store at -20°C long term. Avoid freeze/thaw cycles. |
| Species Reactivity | Human |
| Immunogen | Synthetic peptide of human PIBF1 |
| Formulation | pH7.4 PBS, 0.05% NaN3, 40% Glycerol |
| Application | |
|---|---|
| WB | 1/200-1/1000 |
| IHC | 1/25-1/100 |
| ELISA | 1/1000-1/2000 |
![]() |
Gel: 10%SDS-PAGE, Lysate: 40 μg, Lane 1-2: Hela cells, 293T cells, Primary antibody: P04176(PIBF1 Antibody) at dilution 1/400, Secondary antibody: Goat anti rabbit IgG at 1/8000 dilution, Exposure time: 2 minutes |
![]() |
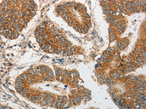
The image is immunohistochemistry of paraffin-embedded Human colon cancer tissue using P04176(PIBF1 Antibody) at dilution 1/20. (Original magnification: ×200) |
![]() |
The image is immunohistochemistry of paraffin-embedded Human liver cancer tissue using P04176(PIBF1 Antibody) at dilution 1/20. (Original magnification: ×200) |
本公司的所有产品仅用于科学研究或者工业应用等非医疗目的,不可用于人类或动物的临床诊断或治疗,非药用,非食用。
暂无评论
本公司的所有产品仅用于科学研究或者工业应用等非医疗目的,不可用于人类或动物的临床诊断或治疗,非药用,非食用。
中文



发表回复