别名:PRKCZ; PKC2; Protein kinase C zeta type; nPKC-zeta应用:WB,IHC,ICC
反应种属:Human,Mouse,Rat,Monkey
规格:50μl/100μl
| Description |
|---|
| PKC is one of the earliest events in a cascade that controls a variety of cellular responses, including secretion, gene expression, proliferation, and muscle contraction. PKC is activated by diacylglycerol which in turn phosphorylates a range of cellular proteins. PKC also serves as the receptor for phorbol esters, a class of tumor promoters. Subunit of a quaternary complex that plays a central role in epithelial cell polarization. |
| Specification | |
|---|---|
| Aliases | PRKCZ; PKC2; Protein kinase C zeta type; nPKC-zeta |
| Entrez GeneID | 5590 |
| Swissprot | Q05513 |
| WB Predicted band size | Calculated MW: 68 kDa; Observed MW: 80 kDa |
| Host/Isotype | Rabbit IgG |
| Storage | Store at 4°C short term. Aliquot and store at -20°C long term. Avoid freeze/thaw cycles. |
| Species Reactivity | Human,Mouse,Rat,Monkey |
| Immunogen | The antiserum was produced against synthesized peptide derived from human PKC zeta. AA range:526-575 |
| Formulation | Liquid in PBS containing 50% glycerol, 0.5% BSA and 0.02% sodium azide, pH 7.3. |
| Application | |
|---|---|
| WB | 1/500-1/1000 |
| IHC | 1/50-1/100 |
| ICC | 1/50-1/200 |
| ELISA | 1/10000 |
![]() |
Western blot analysis of PKC zeta in various lysates using PKC zeta antibody. |
![]() |
Western blot analysis of PKC zeta in COS7 lysates using PKC ζ antibody. |
![]() |
Western blot analysis of PKC zeta in COS7 lytsates treated with PMA using PKC zeta antibody. The lane on the right is blocked with the synthesized peptide. |
![]() |
Immunofluorescence analysis of PKC zeta in.NIH/3T3 cells, using PKC zeta antibody. The picture on the right is blocked with the synthesized peptide. |
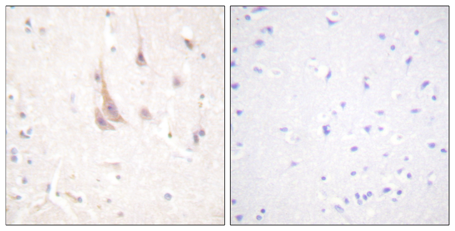
![]() |
Immunohistochemistry analysis of paraffin-embedded Human brain tissue using PKC zeta antibody.High-pressure and temperature Sodium Citrate pH 6.0 was used for antigen retrieval.Sample with blocking peptide on the right. |
本公司的所有产品仅用于科学研究或者工业应用等非医疗目的,不可用于人类或动物的临床诊断或治疗,非药用,非食用。
暂无评论
本公司的所有产品仅用于科学研究或者工业应用等非医疗目的,不可用于人类或动物的临床诊断或治疗,非药用,非食用。
中文





发表回复