别名:MOM1; PLA2; PLA2B; PLA2L; PLA2S; PLAS1; sPLA2应用:IHC
反应种属:Human
规格:50μl/100μl
| Description |
|---|
| The protein encoded by this gene is a member of the phospholipase A2 family (PLA2). PLA2s constitute a diverse family of enzymes with respect to sequence, function, localization, and divalent cation requirements. This gene product belongs to group II, which contains secreted form of PLA2, an extracellular enzyme that has a low molecular mass and requires calcium ions for catalysis. It catalyzes the hydrolysis of the sn-2 fatty acid acyl ester bond of phosphoglycerides, releasing free fatty acids and lysophospholipids, and thought to participate in the regulation of the phospholipid metabolism in biomembranes. Several alternatively spliced transcript variants with different 5′ UTRs have been found for this gene. |
| Specification | |
|---|---|
| Aliases | MOM1; PLA2; PLA2B; PLA2L; PLA2S; PLAS1; sPLA2 |
| Swissprot | P14555 |
| Host/Isotype | Rabbit IgG |
| Storage | Store at 4°C short term. Aliquot and store at -20°C long term. Avoid freeze/thaw cycles. |
| Species Reactivity | Human |
| Immunogen | Fusion protein of human PLA2G2A |
| Formulation | pH7.4 PBS, 0.05% NaN3, 40% Glycerol |
| Application | |
|---|---|
| IHC | 1/50-1/200 |
| ELISA | 1/5000-1/10000 |
![]() |
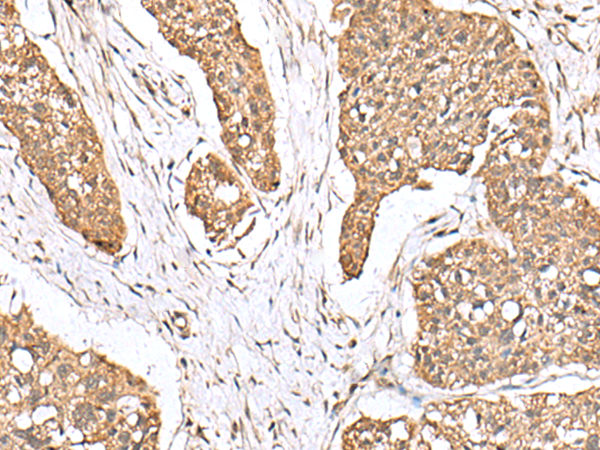
The image is immunohistochemistry of paraffin-embedded Human liver cancer tissue using P03251(PLA2G2A Antibody) at dilution 1/55. (Original magnification: ×200) |
![]() |
The image is immunohistochemistry of paraffin-embedded Human esophagus cancer tissue using P03251(PLA2G2A Antibody) at dilution 1/55. (Original magnification: ×200) |
本公司的所有产品仅用于科学研究或者工业应用等非医疗目的,不可用于人类或动物的临床诊断或治疗,非药用,非食用。
暂无评论
本公司的所有产品仅用于科学研究或者工业应用等非医疗目的,不可用于人类或动物的临床诊断或治疗,非药用,非食用。
中文


发表回复