别名:PLCE; PPLC; NPHS3应用:IHC
反应种属:Human
规格:50μl/100μl
| Description |
|---|
| This gene encodes a phospholipase enzyme that catalyzes the hydrolysis of phosphatidylinositol-4,5-bisphosphate to generate two second messengers: inositol 1,4,5-triphosphate (IP3) and diacylglycerol (DAG). These second messengers subsequently regulate various processes affecting cell growth, differentiation, and gene expression. This enzyme is regulated by small monomeric GTPases of the Ras and Rho families and by heterotrimeric G proteins. In addition to its phospholipase C catalytic activity, this enzyme has an N-terminal domain with guanine nucleotide exchange (GEF) activity. Mutations in this gene cause early-onset nephrotic syndrome; characterized by proteinuria, edema, and diffuse mesangial sclerosis or focal and segmental glomerulosclerosis. Alternative splicing results in multiple transcript variants encoding distinct isoforms. |
| Specification | |
|---|---|
| Aliases | PLCE; PPLC; NPHS3 |
| Swissprot | Q9P212 |
| Host/Isotype | Rabbit IgG |
| Storage | Store at 4°C short term. Aliquot and store at -20°C long term. Avoid freeze/thaw cycles. |
| Species Reactivity | Human |
| Immunogen | Synthetic peptide of human PLCE1 |
| Formulation | pH7.4 PBS, 0.05% NaN3, 40% Glycerol |
| Application | |
|---|---|
| IHC | 1/50-1/200 |
| ELISA | 1/5000-1/10000 |
![]() |
The image is immunohistochemistry of paraffin-embedded Human cervical cancer tissue using P13814(PLCE1 Antibody) at dilution 1/50. (Original magnification: ×200) |
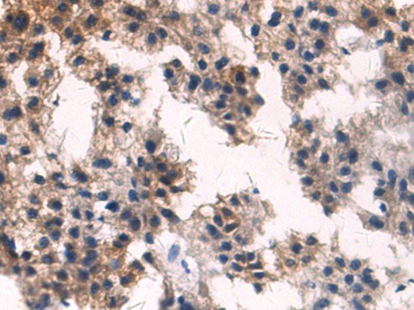
![]() |
The image is immunohistochemistry of paraffin-embedded Human liver cancer tissue using P13814(PLCE1 Antibody) at dilution 1/50. (Original magnification: ×200) |
本公司的所有产品仅用于科学研究或者工业应用等非医疗目的,不可用于人类或动物的临床诊断或治疗,非药用,非食用。
暂无评论
本公司的所有产品仅用于科学研究或者工业应用等非医疗目的,不可用于人类或动物的临床诊断或治疗,非药用,非食用。
中文


发表回复