别名:Pleckstrin homology domain-containing family A member 4, PH domain-containing family A member 4, Phosphoinositol 3-phosphate-binding protein 1, PEPP-1, PLEKHA4, PEPP1应用:WB,IHC,FCM
反应种属:Human
规格:50μl/100μl
| Description |
|---|
| PLEKHA4 binds specifically to phosphatidylinositol-3-phosphate (PtdIns3P), but not to other phosphoinositides. |
| Specification | |
|---|---|
| Aliases | Pleckstrin homology domain-containing family A member 4, PH domain-containing family A member 4, Phosphoinositol 3-phosphate-binding protein 1, PEPP-1, PLEKHA4, PEPP1 |
| Entrez GeneID | 57664 |
| Swissprot | Q9H4M7 |
| WB Predicted band size | 85.4kDa |
| Host/Isotype | Rabbit IgG |
| Storage | Store at 4°C short term. Aliquot and store at -20°C long term. Avoid freeze/thaw cycles. |
| Species Reactivity | Human |
| Immunogen | This PLEKHA4 antibody is generated from rabbits immunized with a KLH conjugated synthetic peptide between 21-50 amino acids from the N-terminal region of human PLEKHA4. |
| Formulation | Purified polyclonal antibody supplied in PBS with 0.05% sodium azide. This antibody is purified through a protein A column, followed by peptide affinity purification. |
| Application | |
|---|---|
| WB | 1/1000 |
| IHC | 1/100-1/500 |
| FCM | 1/10-1/50 |
![]() |
PLEKHA4 Antibody (N-term) (Cat. #P30998) western blot analysis in K562 cell line lysates (35ug/lane).This demonstrates the PLEKHA4 antibody detected the PLEKHA4 protein (arrow). |
![]() |
PLEKHA4 Antibody (N-term) (Cat. #P30998) flow cytometric analysis of K562 cells (right histogram) compared to a negative control cell (left histogram).FITC-conjugated goat-anti-rabbit secondary antibodies were used for the analysis. |
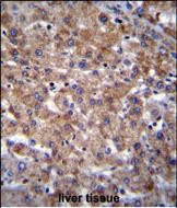
![]() |
PLEKHA4 Antibody (N-term) (Cat. #P30998)immunohistochemistry analysis in formalin fixed and paraffin embedded human liver tissue followed by peroxidase conjugation of the secondary antibody and DAB staining.This data demonstrates the use of PLEKHA4 Antibody (N-term) for immunohistochemistry. Clinical relevance has not been evaluated. |
本公司的所有产品仅用于科学研究或者工业应用等非医疗目的,不可用于人类或动物的临床诊断或治疗,非药用,非食用。
暂无评论
本公司的所有产品仅用于科学研究或者工业应用等非医疗目的,不可用于人类或动物的临床诊断或治疗,非药用,非食用。
中文



发表回复