别名:LPP2; PAP-2c; PAP2-g; PPAP2C应用:WB,IHC
反应种属:Human
规格:50μl/100μl
| Description |
|---|
| The protein encoded by this gene is a member of the phosphatidic acid phosphatase (PAP) family. PAPs convert phosphatidic acid to diacylglycerol, and function in de novo synthesis of glycerolipids as well as in receptor-activated signal transduction mediated by phospholipase D. This protein is similar to phosphatidic acid phosphatase type 2A (PPAP2A) and type 2B (PPAP2B). All three proteins contain 6 transmembrane regions, and a consensus N-glycosylation site. This protein has been shown to possess membrane associated PAP activity. Three alternatively spliced transcript variants encoding distinct isoforms have been reported. |
| Specification | |
|---|---|
| Aliases | LPP2; PAP-2c; PAP2-g; PPAP2C |
| Swissprot | O43688 |
| WB Predicted band size | 33 kDa |
| Host/Isotype | Rabbit IgG |
| Storage | Store at 4°C short term. Aliquot and store at -20°C long term. Avoid freeze/thaw cycles. |
| Species Reactivity | Human |
| Immunogen | Synthetic peptide of human PLPP2 |
| Formulation | pH7.4 PBS, 0.05% NaN3, 40% Glycerol |
| Application | |
|---|---|
| WB | 1/500-1/2000 |
| IHC | 1/50-1/200 |
| ELISA | 1/5000-1/10000 |
![]() |
Gel: 8%SDS-PAGE, Lysate: 40 μg, Lane: MCF7 cell lysate, Primary antibody: P06870(PLPP2 Antibody) at dilution 1/550, Secondary antibody: Goat anti rabbit IgG at 1/5000 dilution, Exposure time: 1 minute |
![]() |
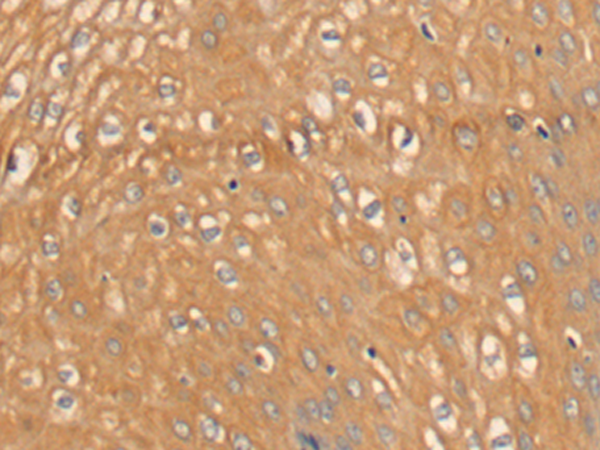
The image is immunohistochemistry of paraffin-embedded Human esophagus cancer tissue using P06870(PLPP2 Antibody) at dilution 1/60. (Original magnification: ×200) |
![]() |
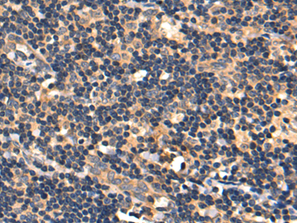
The image is immunohistochemistry of paraffin-embedded Human tonsil tissue using P06870(PLPP2 Antibody) at dilution 1/60. (Original magnification: ×200) |
本公司的所有产品仅用于科学研究或者工业应用等非医疗目的,不可用于人类或动物的临床诊断或治疗,非药用,非食用。
暂无评论
本公司的所有产品仅用于科学研究或者工业应用等非医疗目的,不可用于人类或动物的临床诊断或治疗,非药用,非食用。
中文



发表回复