别名:SEP; PLXN5; PLEXIN-B1应用:IHC
反应种属:Human, Mouse
规格:50μl/100μl
| Description |
|---|
| Plexin B1 is a protein of the plexin family that in humans is encoded by the PLXNB1gene. Receptor for SEMA4D. Plays a role in RHOA activation and subsequent changes of the actin cytoskeleton. Plays a role in axon guidance, invasive growth and cell migration. |
| Specification | |
|---|---|
| Aliases | SEP; PLXN5; PLEXIN-B1 |
| Swissprot | O43157 |
| Host/Isotype | Rabbit IgG |
| Storage | Store at 4°C short term. Aliquot and store at -20°C long term. Avoid freeze/thaw cycles. |
| Species Reactivity | Human, Mouse |
| Immunogen | Synthetic peptide of human PLXNB1 |
| Formulation | pH7.4 PBS, 0.05% NaN3, 40% Glycerol |
| Application | |
|---|---|
| IHC | 1/50-1/200 |
| ELISA | 1/2000-1/5000 |
![]() |
The image is immunohistochemistry of paraffin-embedded Human liver cancer tissue using P12064(PLXNB1 Antibody) at dilution 1/50. (Original magnification: ×200) |
![]() |
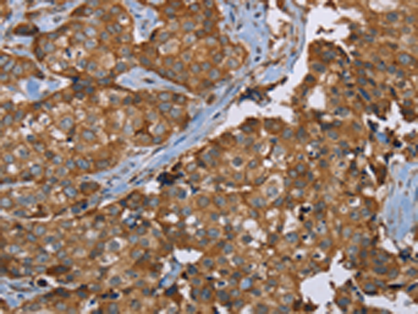
The image is immunohistochemistry of paraffin-embedded Human breast cancer tissue using P12064(PLXNB1 Antibody) at dilution 1/50. (Original magnification: ×200) |
本公司的所有产品仅用于科学研究或者工业应用等非医疗目的,不可用于人类或动物的临床诊断或治疗,非药用,非食用。
暂无评论
本公司的所有产品仅用于科学研究或者工业应用等非医疗目的,不可用于人类或动物的临床诊断或治疗,非药用,非食用。
中文


发表回复