别名:PLEXD1应用:IHC
反应种属:Human, Mouse
规格:50μl/100μl
| Description |
|---|
| Cell surface receptor for SEMA4A and for class 3 semaphorins, such as SEMA3A, SEMA3C and SEMA3E. Plays an important role in cell-cell signaling, and in regulating the migration of a wide spectrum of cell types. Regulates the migration of thymocytes in the medulla. Regulates endothelial cell migration. Plays an important role in ensuring the specificity of synapse formation. Required for normal development of the heart and vasculature By similarity. Mediates anti-angiogenic signaling in response to SEMA3E. |
| Specification | |
|---|---|
| Aliases | PLEXD1 |
| Swissprot | Q9Y4D7 |
| Host/Isotype | Rabbit IgG |
| Storage | Store at 4°C short term. Aliquot and store at -20°C long term. Avoid freeze/thaw cycles. |
| Species Reactivity | Human, Mouse |
| Immunogen | Synthetic peptide of human PLXND1 |
| Formulation | pH7.4 PBS, 0.05% NaN3, 40% Glycerol |
| Application | |
|---|---|
| IHC | 1/25-1/100 |
| ELISA | 1/1000-1/2000 |
![]() |
The image is immunohistochemistry of paraffin-embedded Human brain tissue using P05175(PLXND1 Antibody) at dilution 1/40. (Original magnification: ×200) |
![]() |
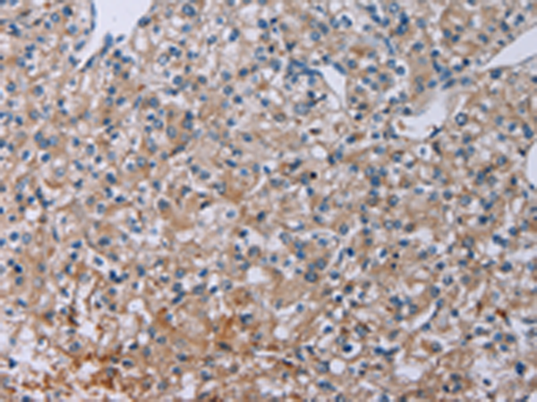
The image is immunohistochemistry of paraffin-embedded Human prostate cancer tissue using P05175(PLXND1 Antibody) at dilution 1/40. (Original magnification: ×200) |
本公司的所有产品仅用于科学研究或者工业应用等非医疗目的,不可用于人类或动物的临床诊断或治疗,非药用,非食用。
暂无评论
本公司的所有产品仅用于科学研究或者工业应用等非医疗目的,不可用于人类或动物的临床诊断或治疗,非药用,非食用。
中文


发表回复