别名:GDP-fucose protein O-fucosyltransferase 2, Peptide-O-fucosyltransferase 2, O-FucT-2, POFUT2, C21orf80, FUT13, KIAA0958应用:WB,IHC
反应种属:Human
规格:50μl/100μl
| Description |
|---|
| Fucose is typically found as a terminal modification of branched chain glycoconjugates, but it also exists in direct O-linkage to serine or threonine residues within cystine knot motifs in epidermal growth factor (EGF; MIM 131530)-like repeats or thrombospondin (THBS; see MIM 188060) type-1 repeats. POFUT2 is an O-fucosyltransferase that use THBS type-1 repeats as substrates (Luo et al., 2006 [PubMed 16464857]). |
| Specification | |
|---|---|
| Aliases | GDP-fucose protein O-fucosyltransferase 2, Peptide-O-fucosyltransferase 2, O-FucT-2, POFUT2, C21orf80, FUT13, KIAA0958 |
| Entrez GeneID | 23275 |
| Swissprot | Q9Y2G5 |
| WB Predicted band size | 50.0kDa |
| Host/Isotype | Rabbit IgG |
| Storage | Store at 4°C short term. Aliquot and store at -20°C long term. Avoid freeze/thaw cycles. |
| Species Reactivity | Human |
| Immunogen | This POFUT2 antibody is generated from rabbits immunized with a KLH conjugated synthetic peptide between 228-257 amino acids from the Central region of human POFUT2. |
| Formulation | Purified polyclonal antibody supplied in PBS with 0.05% sodium azide. This antibody is purified through a protein A column, followed by peptide affinity purification. |
| Application | |
|---|---|
| WB | 1/1000 |
| IHC | 1/100-1/500 |
![]() |
POFUT2 Antibody (Center) (Cat. #P31179) western blot analysis in HepG2 cell line lysates (35ug/lane).This demonstrates the POFUT2 antibody detected the POFUT2 protein (arrow). |
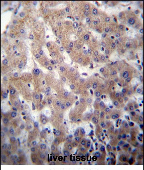
![]() |
POFUT2 Antibody (Center) (Cat. #P31179)immunohistochemistry analysis in formalin fixed and paraffin embedded human liver tissue followed by peroxidase conjugation of the secondary antibody and DAB staining.This data demonstrates the use of POFUT2 Antibody (Center) for immunohistochemistry. Clinical relevance has not been evaluated. |
本公司的所有产品仅用于科学研究或者工业应用等非医疗目的,不可用于人类或动物的临床诊断或治疗,非药用,非食用。
暂无评论
本公司的所有产品仅用于科学研究或者工业应用等非医疗目的,不可用于人类或动物的临床诊断或治疗,非药用,非食用。
中文


发表回复