别名:DNA polymerase subunit gamma-1, Mitochondrial DNA polymerase catalytic subunit, PolG-alpha, POLG, MDP1, POLG1, POLGA应用:WB,IHC,ICC,FCM
反应种属:Human, Mouse, Rat
规格:50μl/100μl
| Description |
|---|
| Mitochondrial DNA polymerase is heterotrimeric, consisting of a homodimer of accessory subunits plus a catalytic subunit. The protein encoded by this gene is the catalytic subunit of mitochondrial DNA polymerase. The encoded protein contains a polyglutamine tract near its N-terminus that may be polymorphic. Defects in this gene are a cause of progressive external ophthalmoplegia with mitochondrial DNA deletions 1 (PEOA1), sensory ataxic neuropathy dysarthria and ophthalmoparesis (SANDO), Alpers-Huttenlocher syndrome (AHS), and mitochondrial neurogastrointestinal encephalopathy syndrome (MNGIE). Two transcript variants encoding the same protein have been found for this gene. |
| Specification | |
|---|---|
| Aliases | DNA polymerase subunit gamma-1, Mitochondrial DNA polymerase catalytic subunit, PolG-alpha, POLG, MDP1, POLG1, POLGA |
| Entrez GeneID | 5428 |
| Swissprot | P54098 |
| WB Predicted band size | 139.6kDa |
| Host/Isotype | Rabbit IgG |
| Storage | Store at 4°C short term. Aliquot and store at -20°C long term. Avoid freeze/thaw cycles. |
| Species Reactivity | Human, Mouse, Rat |
| Immunogen | This POLG antibody is generated from rabbits immunized with a KLH conjugated synthetic peptide between 1120-1148 amino acids from the C-terminal region of human POLG. |
| Formulation | Purified polyclonal antibody supplied in PBS with 0.05% sodium azide. This antibody is purified through a protein A column, followed by peptide affinity purification. |
| Application | |
|---|---|
| WB | 1/1000 |
| IHC | 1/100-1/500 |
| ICC | 1/10-1/50 |
| FCM | 1/10-1/50 |
![]() |
POLG Antibody (C-term) (Cat. #P31564) western blot analysis in mouse cerebellum tissue lysates (35ug/lane).This demonstrates the POLG antibody detected the POLG protein (arrow). |
![]() |
Confocal immunofluorescent analysis of POLG Antibody (C-term)(Cat#P31564) with Hela cell followed by Alexa Fluor 488-conjugated goat anti-rabbit lgG (green).DAPI was used to stain the cell nuclear (blue). |
![]() |
POLG Antibody (C-term) (Cat. #P31564) flow cytometric analysis of CEM cells (right histogram) compared to a negative control cell (left histogram).FITC-conjugated goat-anti-rabbit secondary antibodies were used for the analysis. |
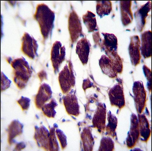
![]() |
POLG Antibody (C-term) (Cat. #P31564)immunohistochemistry analysis in formalin fixed and paraffin embedded human skeletal muscle followed by peroxidase conjugation of the secondary antibody and DAB staining.This data demonstrates the use of POLG Antibody (C-term) for immunohistochemistry. Clinical relevance has not been evaluated. |
本公司的所有产品仅用于科学研究或者工业应用等非医疗目的,不可用于人类或动物的临床诊断或治疗,非药用,非食用。
暂无评论
本公司的所有产品仅用于科学研究或者工业应用等非医疗目的,不可用于人类或动物的临床诊断或治疗,非药用,非食用。
中文




发表回复