别名:DNA-directed RNA polymerases I and III subunit RPAC1, DNA-directed RNA polymerase I subunit C, RNA polymerases I and III subunit AC1, AC40, DNA-directed RNA polymerases I and III 40 kDa polypeptide, RPA40, RPA39, RPC40, POLR1C, POLR1E应用:WB,IHC
反应种属:Human, Mouse
规格:50μl/100μl
| Description |
|---|
| DNA-dependent RNA polymerase catalyzes the transcription of DNA into RNA using the four ribonucleoside triphosphates as substrates. Common component of RNA polymerases I and III which synthesize ribosomal RNA precursors and small RNAs, such as 5S rRNA and tRNAs, respectively. RPAC1 is part of the Pol core element with the central large cleft and probably a clamp element that moves to open and close the cleft. |
| Specification | |
|---|---|
| Aliases | DNA-directed RNA polymerases I and III subunit RPAC1, DNA-directed RNA polymerase I subunit C, RNA polymerases I and III subunit AC1, AC40, DNA-directed RNA polymerases I and III 40 kDa polypeptide, RPA40, RPA39, RPC40, POLR1C, POLR1E |
| Entrez GeneID | 9533 |
| Swissprot | O15160 |
| WB Predicted band size | 39.3kDa |
| Host/Isotype | Rabbit IgG |
| Storage | Store at 4°C short term. Aliquot and store at -20°C long term. Avoid freeze/thaw cycles. |
| Species Reactivity | Human, Mouse |
| Immunogen | This POLR1C antibody is generated from rabbits immunized with a KLH conjugated synthetic peptide between 319-346 amino acids from the C-terminal region of human POLR1C. |
| Formulation | Purified polyclonal antibody supplied in PBS with 0.05% sodium azide. This antibody is prepared by Saturated Ammonium Sulfate (SAS) precipitation followed by dialysis against PBS. |
| Application | |
|---|---|
| WB | 1/2000 |
| IHC | 1/100-1/500 |
![]() |
All lanes : Anti-POLR1C Antibody (C-term) at 1:2000 dilution Lane 1: K562 whole cell lysate Lane 2: SW480 whole cell lysate Lane 3: MDA-MB-231 whole cell lysate Lane 4: A2058 whole cell lysate Lane 5: NIH/3T3 whole cell lysate Lane 6: HepG2 whole cell lysate Lane 7: Hela whole cell lysate Lysates/proteins at 20 µg per lane. Secondary Predicted band size : 39 kDa Blocking/Dilution buffer: 5% NFDM/TBST. |
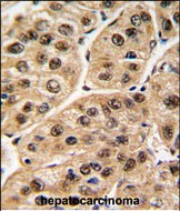
![]() |
Formalin-fixed and paraffin-embedded human hepatocarcinoma tissue reacted with POLR1C antibody (C-term) (Cat. #P33510), which was peroxidase-conjugated to the secondary antibody, followed by DAB staining. This data demonstrates the use of this antibody for immunohistochemistry; clinical relevance has not been evaluated. |
本公司的所有产品仅用于科学研究或者工业应用等非医疗目的,不可用于人类或动物的临床诊断或治疗,非药用,非食用。
暂无评论
本公司的所有产品仅用于科学研究或者工业应用等非医疗目的,不可用于人类或动物的临床诊断或治疗,非药用,非食用。
中文


发表回复