别名:AC19; RPA9; TCS2; RPA16; RPAC2; RPC16; POLR1C; RPO1-3应用:IHC
反应种属:Human
规格:50μl/100μl
| Description |
|---|
| The protein encoded by this gene is a component of the RNA polymerase I and RNA polymerase III complexes, which function in the synthesis of ribosomal RNA precursors and small RNAs, respectively. Mutations in this gene are a cause of Treacher Collins syndrome (TCS), a craniofacial development disorder. Alternative splicing results in multiple transcript variants. |
| Specification | |
|---|---|
| Aliases | AC19; RPA9; TCS2; RPA16; RPAC2; RPC16; POLR1C; RPO1-3 |
| Swissprot | P0DPB5 |
| Host/Isotype | Rabbit IgG |
| Storage | Store at 4°C short term. Aliquot and store at -20°C long term. Avoid freeze/thaw cycles. |
| Species Reactivity | Human |
| Immunogen | Fusion protein of human POLR1D |
| Formulation | pH7.4 PBS, 0.05% NaN3, 40% Glycerol |
| Application | |
|---|---|
| IHC | 1/50-1/300 |
| ELISA | 1/5000-1/10000 |
![]() |
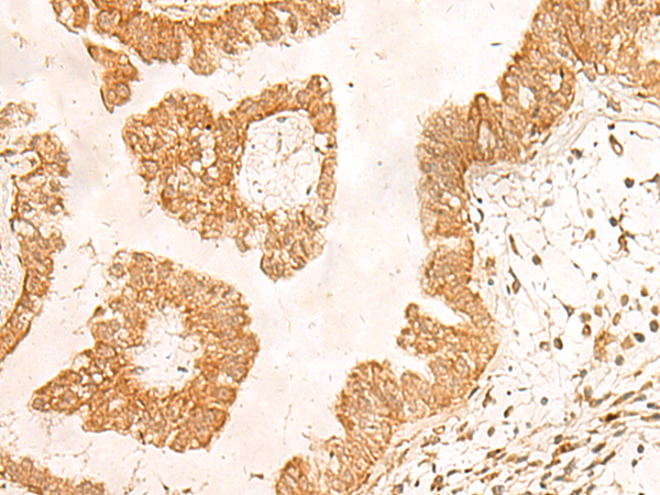
The image is immunohistochemistry of paraffin-embedded Human esophagus cancer tissue using P02978(POLR1D Antibody) at dilution 1/50. (Original magnification: ×200) |
![]() |
The image is immunohistochemistry of paraffin-embedded Human liver cancer tissue using P02978(POLR1D Antibody) at dilution 1/50. (Original magnification: ×200) |
本公司的所有产品仅用于科学研究或者工业应用等非医疗目的,不可用于人类或动物的临床诊断或治疗,非药用,非食用。
暂无评论
本公司的所有产品仅用于科学研究或者工业应用等非医疗目的,不可用于人类或动物的临床诊断或治疗,非药用,非食用。
中文


发表回复