别名:P145; POM121A应用:IHC
反应种属:Human
规格:50μl/100μl
| Description |
|---|
| This gene encodes a transmembrane protein that localizes to the inner nuclear membrane and forms a core component of the nuclear pore complex, which mediates transport to and from the nucleus. The encoded protein may anchor this complex to the nuclear envelope. There are multiple related genes and pseudogenes for this gene on chromosomes 5, 7, 15, and 22. Alternatively spliced transcript variants encoding different isoforms have been observed. |
| Specification | |
|---|---|
| Aliases | P145; POM121A |
| Swissprot | Q96HA1 |
| Host/Isotype | Rabbit IgG |
| Storage | Store at 4°C short term. Aliquot and store at -20°C long term. Avoid freeze/thaw cycles. |
| Species Reactivity | Human |
| Immunogen | Fusion protein of human POM121 |
| Formulation | pH7.4 PBS, 0.05% NaN3, 40% Glycerol |
| Application | |
|---|---|
| IHC | 1/40-1/200 |
| ELISA | 1/5000-1/10000 |
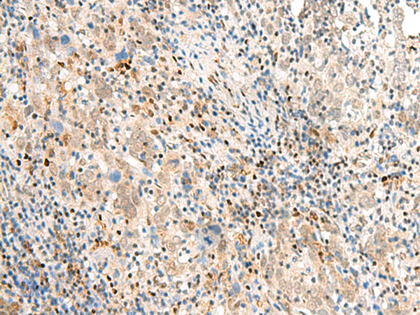
![]() |
The image is immunohistochemistry of paraffin-embedded Human thyroid cancer tissue using P02968(POM121 Antibody) at dilution 1/40. (Original magnification: ×200) |
![]() |
The image is immunohistochemistry of paraffin-embedded Human cervical cancer tissue using P02968(POM121 Antibody) at dilution 1/40. (Original magnification: ×200) |
本公司的所有产品仅用于科学研究或者工业应用等非医疗目的,不可用于人类或动物的临床诊断或治疗,非药用,非食用。
暂无评论
本公司的所有产品仅用于科学研究或者工业应用等非医疗目的,不可用于人类或动物的临床诊断或治疗,非药用,非食用。
中文


发表回复