别名:RPP29应用:WB,IHC
反应种属:Human, Mouse, Rat
规格:50μl/100μl
| Description |
|---|
| This gene encodes one of the protein subunits of the small nucleolar ribonucleoprotein complexes: the endoribonuclease for mitochondrial RNA processing complex and the ribonuclease P complex. The encoded protein is localized to the nucleus and associates directly with the RNA component of these complexes. This protein is involved in processing of precursor RNAs. Alternative splicing results in multiple transcript variants. |
| Specification | |
|---|---|
| Aliases | RPP29 |
| Swissprot | O95707 |
| WB Predicted band size | 25 kDa |
| Host/Isotype | Rabbit IgG |
| Storage | Store at 4°C short term. Aliquot and store at -20°C long term. Avoid freeze/thaw cycles. |
| Species Reactivity | Human, Mouse, Rat |
| Immunogen | Fusion protein of human POP4 |
| Formulation | pH7.4 PBS, 0.05% NaN3, 40% Glycerol |
| Application | |
|---|---|
| WB | 1/200-1/1000 |
| IHC | 1/50-1/300 |
| ELISA | 1/5000-1/10000 |
![]() |
Gel: 12%SDS-PAGE, Lysate: 40 μg, Lane: Human cerebella tissue lysate, Primary antibody: P03050(POP4 Antibody) at dilution 1/550, Secondary antibody: Goat anti rabbit IgG at 1/8000 dilution, Exposure time: 20 seconds |
![]() |
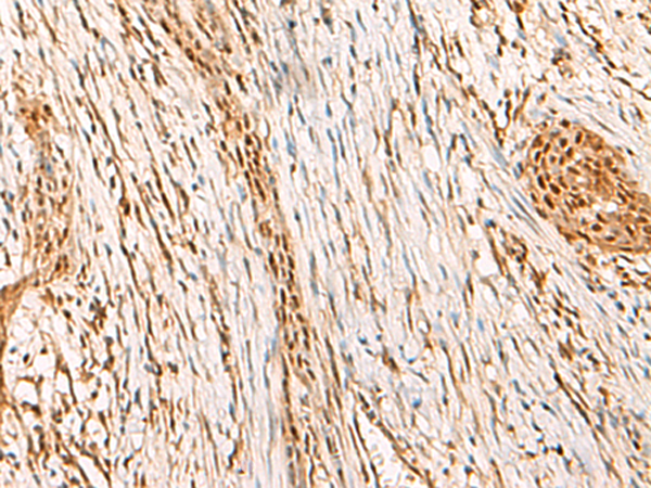
The image is immunohistochemistry of paraffin-embedded Human esophagus cancer tissue using P03050(POP4 Antibody) at dilution 1/75. (Original magnification: ×200) |
![]() |
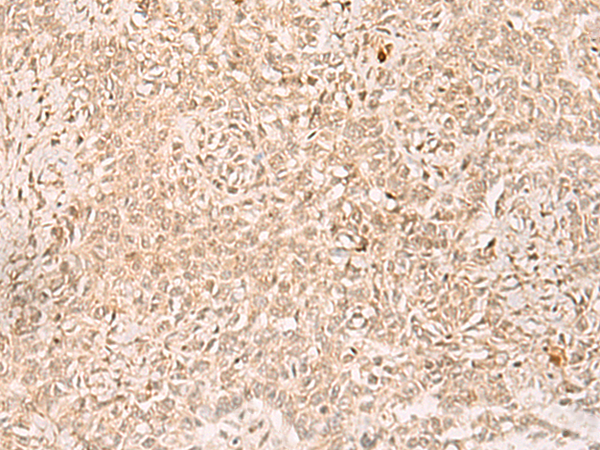
The image is immunohistochemistry of paraffin-embedded Human ovarian cancer tissue using P03050(POP4 Antibody) at dilution 1/75. (Original magnification: ×200) |
本公司的所有产品仅用于科学研究或者工业应用等非医疗目的,不可用于人类或动物的临床诊断或治疗,非药用,非食用。
暂无评论
本公司的所有产品仅用于科学研究或者工业应用等非医疗目的,不可用于人类或动物的临床诊断或治疗,非药用,非食用。
中文



发表回复