别名:BOB1, OBF1, OCAB, OBF-1应用:IHC
反应种属:Human, Mouse
规格:50μl/100μl
| Description |
|---|
| POU domain class 2-associating factor 1 is a protein that in humans is encoded by the POU2AF1 gene. POU2AF1 has been shown to interact with POU2F1 and SIAH1. POU domain class 2-associating factor 1 is a protein that in humans is encoded by the POU2AF1 gene.Transcriptional coactivator that specifically associates with either OCT1 or OCT2. It encourages the OCT1 mediated promoter activity and to a lesser extent, that of OCT2. It has no intrinsic DNA-binding activity. It recognizes the POU domains of OCT1 and OCT2. It is necessary for the response of B-cells to antigens and required for the formation of germinal centers. |
| Specification | |
|---|---|
| Aliases | BOB1, OBF1, OCAB, OBF-1 |
| Swissprot | Q16633 |
| Host/Isotype | Rabbit IgG |
| Storage | Store at 4°C short term. Aliquot and store at -20°C long term. Avoid freeze/thaw cycles. |
| Species Reactivity | Human, Mouse |
| Immunogen | Synthetic peptide of human POU2AF1 |
| Formulation | pH7.4 PBS, 0.05% NaN3, 40% Glycerol |
| Application | |
|---|---|
| IHC | 1/10-1/50 |
| ELISA | 1/1000-1/2000 |
![]() |
The image is immunohistochemistry of paraffin-embedded Human breast cancer tissue using P03790(POU2AF1 Antibody) at dilution 1/15. (Original magnification: ×200) |
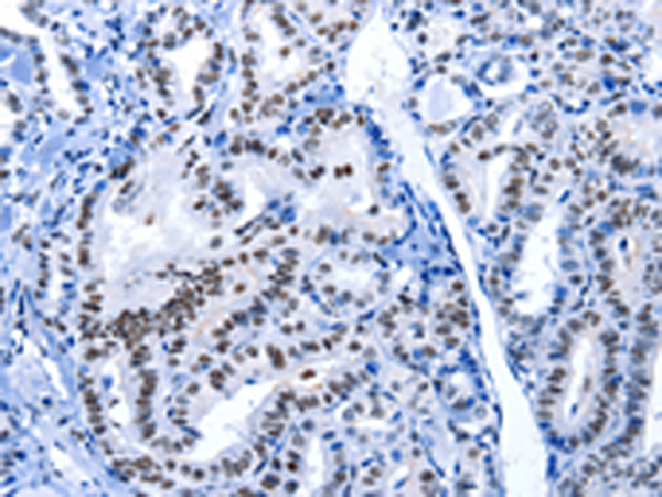
![]() |
The image is immunohistochemistry of paraffin-embedded Human thyroid cancer tissue using P03790(POU2AF1 Antibody) at dilution 1/15. (Original magnification: ×200) |
本公司的所有产品仅用于科学研究或者工业应用等非医疗目的,不可用于人类或动物的临床诊断或治疗,非药用,非食用。
暂无评论
本公司的所有产品仅用于科学研究或者工业应用等非医疗目的,不可用于人类或动物的临床诊断或治疗,非药用,非食用。
中文


发表回复