别名:Phosphatidate phosphatase PPAPDC1A, Phosphatidic acid phosphatase type 2 domain-containing protein 1A, PPAPDC1A, DPPL2, PPAPDC1应用:WB,IHC
反应种属:Mouse
规格:50μl/100μl
| Specification | |
|---|---|
| Aliases | Phosphatidate phosphatase PPAPDC1A, Phosphatidic acid phosphatase type 2 domain-containing protein 1A, PPAPDC1A, DPPL2, PPAPDC1 |
| Entrez GeneID | 196051 |
| Swissprot | Q5VZY2 |
| WB Predicted band size | 30.4kDa |
| Host/Isotype | Rabbit IgG |
| Storage | Store at 4°C short term. Aliquot and store at -20°C long term. Avoid freeze/thaw cycles. |
| Species Reactivity | Mouse |
| Immunogen | This PPAPDC1A antibody is generated from rabbits immunized with a KLH conjugated synthetic peptide between 6-35 amino acids from the N-terminal region of human PPAPDC1A. |
| Formulation | Purified polyclonal antibody supplied in PBS with 0.05% sodium azide. This antibody is purified through a protein A column, followed by peptide affinity purification. |
| Application | |
|---|---|
| WB | 1/1000 |
| IHC | 1/100-1/500 |
![]() |
PPAPDC1A Antibody (N-term) (Cat. #P30930) western blot analysis in mouse bladder tissue lysates (35ug/lane).This demonstrates the PPAPDC1A antibody detected the PPAPDC1A protein (arrow). |
![]() |
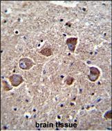
PPAPDC1A Antibody (N-term) (Cat. #P30930)immunohistochemistry analysis in formalin fixed and paraffin embedded human brain tissue followed by peroxidase conjugation of the secondary antibody and DAB staining.This data demonstrates the use of PPAPDC1A Antibody (N-term) for immunohistochemistry. Clinical relevance has not been evaluated. |
本公司的所有产品仅用于科学研究或者工业应用等非医疗目的,不可用于人类或动物的临床诊断或治疗,非药用,非食用。
暂无评论
本公司的所有产品仅用于科学研究或者工业应用等非医疗目的,不可用于人类或动物的临床诊断或治疗,非药用,非食用。
中文


发表回复