别名:Protein phosphatase 1L, Protein phosphatase 1-like, Protein phosphatase 2C isoform epsilon, PP2C-epsilon, PPM1L, PP2CE应用:WB,IHC
反应种属:Human, Mouse
规格:50μl/100μl
| Description |
|---|
| PPM1L, or PP2CE, belongs to the PP2C group of serine/threonine phosphatases, which are distinguished from other phosphatases by their structure, absolute requirement for Mg(2+) or Mn(2+), and insensitivity to okadaic acid. PP2Cs regulate stress-activated protein kinase (SAPK; see MIM 601158) signaling cascades that respond to extracellular stimuli (Jin et al., 2004 [PubMed 15560375]). |
| Specification | |
|---|---|
| Aliases | Protein phosphatase 1L, Protein phosphatase 1-like, Protein phosphatase 2C isoform epsilon, PP2C-epsilon, PPM1L, PP2CE |
| Entrez GeneID | 151742 |
| Swissprot | Q5SGD2 |
| WB Predicted band size | 41.1kDa |
| Host/Isotype | Rabbit IgG |
| Storage | Store at 4°C short term. Aliquot and store at -20°C long term. Avoid freeze/thaw cycles. |
| Species Reactivity | Human, Mouse |
| Immunogen | This PPM1L antibody is generated from rabbits immunized with a KLH conjugated synthetic peptide between 215-244 amino acids from the C-terminal region of human PPM1L. |
| Formulation | Purified polyclonal antibody supplied in PBS with 0.05% sodium azide. This antibody is purified through a protein A column, followed by peptide affinity purification. |
| Application | |
|---|---|
| WB | 1/1000 |
| IHC | 1/100-1/500 |
![]() |
PPM1L Antibody (C-term) (Cat. #P30889) western blot analysis in mouse heart tissue lysates (35ug/lane).This demonstrates the PPM1L antibody detected the PPM1L protein (arrow). |
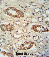
![]() |
PPM1L antibody (C-term) (Cat. #P30889) immunohistochemistry analysis in formalin fixed and paraffin embedded human lung tissue followed by peroxidase conjugation of the secondary antibody and DAB staining. This data demonstrates the use of the PPM1L antibody (C-term) for immunohistochemistry. Clinical relevance has not been evaluated. |
本公司的所有产品仅用于科学研究或者工业应用等非医疗目的,不可用于人类或动物的临床诊断或治疗,非药用,非食用。
暂无评论
本公司的所有产品仅用于科学研究或者工业应用等非医疗目的,不可用于人类或动物的临床诊断或治疗,非药用,非食用。
中文


发表回复