别名:Peroxisome proliferator-activated receptor gamma coactivator-related protein 1, PGC-1-related coactivator, PRC, PPRC1, KIAA0595应用:WB,IHC
反应种属:Human
规格:50μl/100μl
| Description |
|---|
| The protein encoded by this gene is similar to PPAR-gamma coactivator 1 (PPARGC1/PGC-1), a protein that can activate mitochondrial biogenesis in part through a direct interaction with nuclear respiratory factor 1 (NRF1). This protein has been shown to interact with NRF1. It is thought to be a functional relative of PPARGC1 that activates mitochondrial biogenesis through NRF1 in response to proliferative signals. |
| Specification | |
|---|---|
| Aliases | Peroxisome proliferator-activated receptor gamma coactivator-related protein 1, PGC-1-related coactivator, PRC, PPRC1, KIAA0595 |
| Entrez GeneID | 23082 |
| Swissprot | Q5VV67 |
| WB Predicted band size | 177.5kDa |
| Host/Isotype | Rabbit IgG |
| Storage | Store at 4°C short term. Aliquot and store at -20°C long term. Avoid freeze/thaw cycles. |
| Species Reactivity | Human |
| Immunogen | This PPRC1 antibody is generated from rabbits immunized with a KLH conjugated synthetic peptide between 1636-1664 amino acids from the C-terminal region of human PPRC1. |
| Formulation | Purified polyclonal antibody supplied in PBS with 0.05% sodium azide. This antibody is purified through a protein A column, followed by peptide affinity purification. |
| Application | |
|---|---|
| WB | 1/1000 |
| IHC | 1/100-1/500 |
![]() |
Anti-PPRC1 Antibody (C-term) at 1:1000 dilution + Jurkat whole cell lysate
Lysates/proteins at 20 µg per lane. Secondary Predicted band size : 178 kDa Blocking/Dilution buffer: 5% NFDM/TBST. |
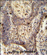
![]() |
PPRC1 antibody (C-term) (Cat. #P33460) immunohistochemistry analysis in formalin fixed and paraffin embedded human lung carcinoma followed by peroxidase conjugation of the secondary antibody and DAB staining. This data demonstrates the use of the PPRC1 antibody (C-term) for immunohistochemistry. Clinical relevance has not been evaluated. |
本公司的所有产品仅用于科学研究或者工业应用等非医疗目的,不可用于人类或动物的临床诊断或治疗,非药用,非食用。
暂无评论
本公司的所有产品仅用于科学研究或者工业应用等非医疗目的,不可用于人类或动物的临床诊断或治疗,非药用,非食用。
中文


发表回复