别名:Palmitoyl-protein thioesterase 1, PPT-1, Palmitoyl-protein hydrolase 1, PPT1, PPT应用:WB,IHC
反应种属:Human
规格:50μl/100μl
| Description |
|---|
| Palmitoyl-protein thioesterase-1 (PPT1) is a lysosomal hydrolase that removes long-chain fatty acyl groups from modified cysteine residues in proteins. Mutations in PPT1 have been found to cause the infantile form of neuronal ceroid lipofuscinosis (INCL), and an animal model has been developed.1 The deduced PPT2 protein contains 302 amino acids, including a 27-amino acid leader peptide, a sequence motif characteristic of many thioesterases and lipases, and 5 potential N-linked glycosylation sites.2 PPT2 shares 18% amino acid identity with PPT1. Northern blot analysis detected a predominant 2.0-kb PPT2 transcript in the human tissues examined, with the highest expression in skeletal muscle; variable amounts of 2.8- and 7.0-kb transcripts were also observed. Recombinant PPT2, like PPT1, possesses thioesterase activity and localizes to the lysosome. Since PPT2 could not substitute for PPT1 in correcting the metabolic defect in INCL cells and was unable to remove palmitate groups from palmitoylated proteins that are routinely used as substrates for PPT1it has been postulated that PPT2 possesses a different substrate specificity than PPT1. |
| Specification | |
|---|---|
| Aliases | Palmitoyl-protein thioesterase 1, PPT-1, Palmitoyl-protein hydrolase 1, PPT1, PPT |
| Entrez GeneID | 5538 |
| Swissprot | P50897 |
| WB Predicted band size | 34.2kDa |
| Host/Isotype | Rabbit IgG |
| Storage | Store at 4°C short term. Aliquot and store at -20°C long term. Avoid freeze/thaw cycles. |
| Species Reactivity | Human |
| Immunogen | This PPT1 antibody is generated from rabbits immunized with a KLH conjugated synthetic peptide between 269-300 amino acids from the C-terminal region of human PPT1. |
| Formulation | Purified polyclonal antibody supplied in PBS with 0.05% sodium azide. This antibody is purified through a protein G column, eluted with high and low pH buffers and neutralized immediately, followed by dialysis against PBS. |
| Application | |
|---|---|
| WB | 1/1000 |
| IHC | 1/100-1/500 |
![]() |
Western blot analysis of PPT1 Antibody (C-term) (Cat. #P30082) in 293 cell line lysates (35ug/lane). PPT1 (arrow) was detected using the purified Pab. |
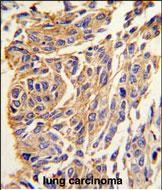
![]() |
Formalin-fixed and paraffin-embedded human lung carcinoma tissue reacted with PPT1 antibody (C-term) (Cat. #P30082), which was peroxidase-conjugated to the secondary antibody, followed by DAB staining. This data demonstrates the use of this antibody for immunohistochemistry; clinical relevance has not been evaluated. |
本公司的所有产品仅用于科学研究或者工业应用等非医疗目的,不可用于人类或动物的临床诊断或治疗,非药用,非食用。
暂无评论
本公司的所有产品仅用于科学研究或者工业应用等非医疗目的,不可用于人类或动物的临床诊断或治疗,非药用,非食用。
中文


发表回复