别名:PAG, PAGA, PAGB, PRX1, PRXI, MSP23, NKEFA, TDPX2, NKEF-A应用:WB,IHC
反应种属:Human, Mouse, Rat
规格:50μl/100μl
| Description |
|---|
| This gene encodes a member of the peroxiredoxin family of antioxidant enzymes, which reduce hydrogen peroxide and alkyl hydroperoxides. The encoded protein may play an antioxidant protective role in cells, and may contribute to the antiviral activity of CD8(+) T-cells. This protein may have a proliferative effect and play a role in cancer development or progression. Four transcript variants encoding the same protein have been identified for this gene. |
| Specification | |
|---|---|
| Aliases | PAG, PAGA, PAGB, PRX1, PRXI, MSP23, NKEFA, TDPX2, NKEF-A |
| Swissprot | Q06830 |
| WB Predicted band size | 22 kDa |
| Host/Isotype | Rabbit IgG |
| Storage | Store at 4°C short term. Aliquot and store at -20°C long term. Avoid freeze/thaw cycles. |
| Species Reactivity | Human, Mouse, Rat |
| Immunogen | Synthetic peptide of human PRDX1 |
| Formulation | pH7.4 PBS, 0.05% NaN3, 40% Glycerol |
| Application | |
|---|---|
| WB | 1/200-1/1000 |
| IHC | 1/25-1/100 |
| ELISA | 1/1000-1/2000 |
![]() |
Gel: 12%SDS-PAGE, Lysate: 40 μg, Lane 1-9: Mouse liver tissue, Mouse kidney tissue, NIH/3T3 cells, RAW264.7 cells, human fetal brain tissue, 293T cells, K562 cells, Jurkat cells, Hela cells, Primary antibody: P11098(PRDX1 Antibody) at dilution 1/400, Secondary antibody: Goat anti rabbit IgG at 1/8000 dilution, Exposure time: 50 seconds |
![]() |
The image is immunohistochemistry of paraffin-embedded Human ovarian cancer tissue using P11098(PRDX1 Antibody) at dilution 1/20. (Original magnification: ×200) |
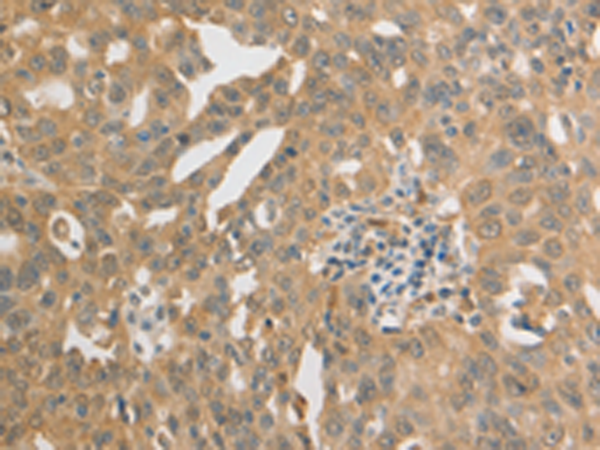
![]() |
The image is immunohistochemistry of paraffin-embedded Human esophagus cancer tissue using P11098(PRDX1 Antibody) at dilution 1/20. (Original magnification: ×200) |
本公司的所有产品仅用于科学研究或者工业应用等非医疗目的,不可用于人类或动物的临床诊断或治疗,非药用,非食用。
暂无评论
本公司的所有产品仅用于科学研究或者工业应用等非医疗目的,不可用于人类或动物的临床诊断或治疗,非药用,非食用。
中文



发表回复