别名:PRP; TSA; PRX2; PTX1; TPX1; NKEFB; PRXII; TDPX1; NKEF-B应用:WB,IHC
反应种属:Human, Mouse, Rat
规格:50μl/100μl
| Description |
|---|
| This gene encodes a member of the peroxiredoxin family of antioxidant enzymes, which reduce hydrogen peroxide and alkyl hydroperoxides. The encoded protein plays an antioxidant protective role in cells, and it may contribute to the antiviral activity of CD8(+) T-cells. The crystal structure of this protein has been resolved to 2.7 angstroms. This protein prevents hemolytic anemia from oxidative stress by stabilizing hemoglobin, thus making this gene a therapeutic target for patients with hemolytic anemia. This protein may have a proliferative effect and play a role in cancer development or progression. Related pseudogenes have been identified on chromosomes 5, 6, 10 and 13. |
| Specification | |
|---|---|
| Aliases | PRP; TSA; PRX2; PTX1; TPX1; NKEFB; PRXII; TDPX1; NKEF-B |
| Swissprot | P32119 |
| WB Predicted band size | 22 kDa |
| Host/Isotype | Rabbit IgG |
| Storage | Store at 4°C short term. Aliquot and store at -20°C long term. Avoid freeze/thaw cycles. |
| Species Reactivity | Human, Mouse, Rat |
| Immunogen | Synthetic peptide of human PRDX2 |
| Formulation | pH7.4 PBS, 0.05% NaN3, 40% Glycerol |
| Application | |
|---|---|
| WB | 1/500-1/2000 |
| IHC | 1/100-1/300 |
| ELISA | 1/2000-1/5000 |
![]() |
Gel: 12%SDS-PAGE, Lysate: 40 μg, Lane 1-4: 293T cells, hela cells, PC3 cells, human liver cancer tissue, Primary antibody: P04183(PRDX2 Antibody) at dilution 1/750, Secondary antibody: Goat anti rabbit IgG at 1/8000 dilution, Exposure time: 10 seconds |
![]() |
The image is immunohistochemistry of paraffin-embedded Human liver cancer tissue using P04183(PRDX2 Antibody) at dilution 1/80. (Original magnification: ×200) |
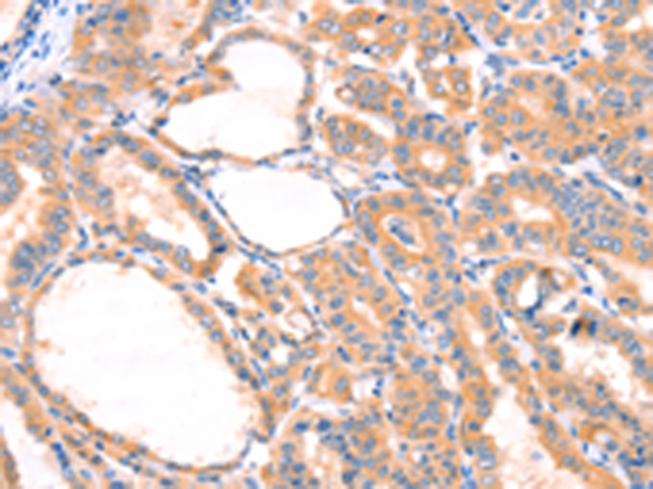
![]() |
The image is immunohistochemistry of paraffin-embedded Human thyroid cancer tissue using P04183(PRDX2 Antibody) at dilution 1/80. (Original magnification: ×200) |
本公司的所有产品仅用于科学研究或者工业应用等非医疗目的,不可用于人类或动物的临床诊断或治疗,非药用,非食用。
暂无评论
本公司的所有产品仅用于科学研究或者工业应用等非医疗目的,不可用于人类或动物的临床诊断或治疗,非药用,非食用。
中文



发表回复