别名:AOP1, MER5, AOP-1, SP-22, HBC189, PRO1748, prx-III应用:WB,IHC
反应种属:Human
规格:50μl/100μl
| Description |
|---|
| This gene encodes a protein with antioxidant function and is localized in the mitochondrion. This gene shows significant nucleotide sequence similarity to the gene coding for the C22 subunit of Salmonella typhimurium alkylhydroperoxide reductase. Expression of this gene product in E. coli deficient in the C22-subunit gene rescued resistance of the bacteria to alkylhydroperoxide. The human and mouse genes are highly conserved, and they map to the regions syntenic between mouse and human chromosomes. Sequence comparisons with recently cloned mammalian homologues suggest that these genes consist of a family that is responsible for regulation of cellular proliferation, differentiation, and antioxidant functions. Two transcript variants encoding two different isoforms have been found for this gene. |
| Specification | |
|---|---|
| Aliases | AOP1, MER5, AOP-1, SP-22, HBC189, PRO1748, prx-III |
| Swissprot | P30048 |
| WB Predicted band size | 28 kDa |
| Host/Isotype | Rabbit IgG |
| Storage | Store at 4°C short term. Aliquot and store at -20°C long term. Avoid freeze/thaw cycles. |
| Species Reactivity | Human |
| Immunogen | Synthetic peptide of human PRDX3 |
| Formulation | pH7.4 PBS, 0.05% NaN3, 40% Glycerol |
| Application | |
|---|---|
| WB | 1/1000-1/5000 |
| IHC | 1/50-1/200 |
| ELISA | 1/2000-1/10000 |
![]() |
Gel: 10%SDS-PAGE, Lysate: 40 μg, Lane 1-2: Hela cells, 293T cells, Primary antibody: P04184(PRDX3 Antibody) at dilution 1/800, Secondary antibody: Goat anti rabbit IgG at 1/8000 dilution, Exposure time: 20 seconds |
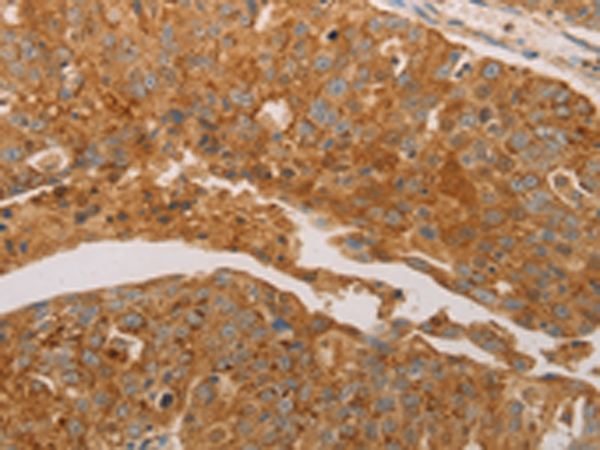
![]() |
The image is immunohistochemistry of paraffin-embedded Human liver cancer tissue using P04184(PRDX3 Antibody) at dilution 1/50. (Original magnification: ×200) |
![]() |
The image is immunohistochemistry of paraffin-embedded Human ovarian cancer tissue using P04184(PRDX3 Antibody) at dilution 1/50. (Original magnification: ×200) |
本公司的所有产品仅用于科学研究或者工业应用等非医疗目的,不可用于人类或动物的临床诊断或治疗,非药用,非食用。
暂无评论
本公司的所有产品仅用于科学研究或者工业应用等非医疗目的,不可用于人类或动物的临床诊断或治疗,非药用,非食用。
中文



发表回复