别名:PRX-4; AOE372; AOE37-2; HEL-S-97n应用:WB,IHC
反应种属:Human, Mouse, Rat
规格:50μl/100μl
| Description |
|---|
| The protein encoded by this gene is an antioxidant enzyme and belongs to the peroxiredoxin family. The protein is localized to the cytoplasm. Peroxidases of the peroxiredoxin family reduce hydrogen peroxide and alkyl hydroperoxides to water and alcohol with the use of reducing equivalents derived from thiol-containing donor molecules. This protein has been found to play a regulatory role in the activation of the transcription factor NF-kappaB. |
| Specification | |
|---|---|
| Aliases | PRX-4; AOE372; AOE37-2; HEL-S-97n |
| Swissprot | Q13162 |
| WB Predicted band size | 30 kDa |
| Host/Isotype | Rabbit IgG |
| Storage | Store at 4°C short term. Aliquot and store at -20°C long term. Avoid freeze/thaw cycles. |
| Species Reactivity | Human, Mouse, Rat |
| Immunogen | Synthetic peptide of human PRDX4 |
| Formulation | pH7.4 PBS, 0.05% NaN3, 40% Glycerol |
| Application | |
|---|---|
| WB | 1/200-1/1000 |
| IHC | 1/20-1/100 |
| ELISA | 1/5000-1/10000 |
![]() |
Gel: 8%SDS-PAGE, Lysate: 40 μg, Lane 1-6: MCF-7, K562, HepG2, 293T, Raji and Hela cell, Primary antibody: P12590(PRDX4 Antibody) at dilution 1/200, Secondary antibody: Goat anti rabbit IgG at 1/8000 dilution, Exposure time: 30S |
![]() |
The image is immunohistochemistry of paraffin-embedded Human tonsil tissue using P12590(PRDX4 Antibody) at dilution 1/20. (Original magnification: ×200) |
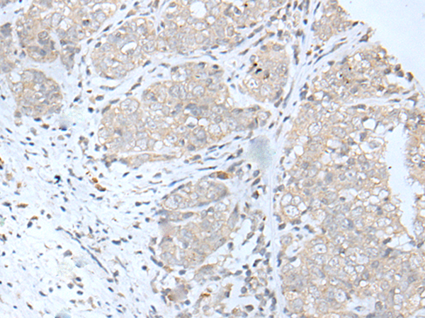
![]() |
The image is immunohistochemistry of paraffin-embedded Human esophagus cancer tissue using P12590(PRDX4 Antibody) at dilution 1/20. (Original magnification: ×200) |
本公司的所有产品仅用于科学研究或者工业应用等非医疗目的,不可用于人类或动物的临床诊断或治疗,非药用,非食用。
暂无评论
本公司的所有产品仅用于科学研究或者工业应用等非医疗目的,不可用于人类或动物的临床诊断或治疗,非药用,非食用。
中文



发表回复