别名:PREP; PEP; Prolyl endopeptidase; PE; Post-proline cleaving enzyme应用:WB,IHC
反应种属:Human,Mouse,Rat
规格:50μl/100μl
| Description |
|---|
| The protein encoded by this gene is a cytosolic prolyl endopeptidase that cleaves peptide bonds on the C-terminal side of prolyl residues within peptides that are up to approximately 30 amino acids long. Prolyl endopeptidases have been reported to be involved in the maturation and degradation of peptide hormones and neuropeptides. |
| Specification | |
|---|---|
| Aliases | PREP; PEP; Prolyl endopeptidase; PE; Post-proline cleaving enzyme |
| Entrez GeneID | 5550 |
| Swissprot | P48147 |
| WB Predicted band size | Calculated MW: 81 kDa; Observed MW: 81 kDa |
| Host/Isotype | Rabbit IgG |
| Storage | Store at 4°C short term. Aliquot and store at -20°C long term. Avoid freeze/thaw cycles. |
| Species Reactivity | Human,Mouse,Rat |
| Immunogen | Synthesized peptide derived from PREP . at AA range: 10-90 |
| Formulation | Liquid in PBS containing 50% glycerol, 0.5% BSA and 0.02% sodium azide, pH 7.3. |
| Application | |
|---|---|
| WB | 1/500-1/1000 |
| IHC | 1/50-1/100 |
| ELISA | 1/10000 |
![]() |
Western blot analysis of PREP in Jurkat lysates using PREP antibody. |
![]() |
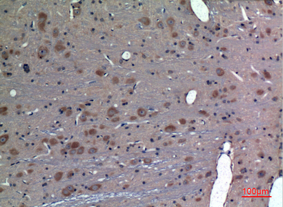
Immunohistochemistry analysis of paraffin-embedded rat brain using PREP antibody.High-pressure and temperature Sodium Citrate pH 6.0 was used for antigen retrieval. |
![]() |
Immunohistochemistry analysis of paraffin-embedded mouse brain using PREP antibody. High-pressure and temperature Sodium Citrate pH 6.0 was used for antigen retrieval. |
本公司的所有产品仅用于科学研究或者工业应用等非医疗目的,不可用于人类或动物的临床诊断或治疗,非药用,非食用。
暂无评论
本公司的所有产品仅用于科学研究或者工业应用等非医疗目的,不可用于人类或动物的临床诊断或治疗,非药用,非食用。
中文



发表回复