别名:PKX1应用:WB,IHC
反应种属:Human
规格:50μl/100μl
| Description |
|---|
| This gene encodes a serine threonine protein kinase that has similarity to the catalytic subunit of cyclic AMP dependent protein kinases. The encoded protein is developmentally regulated and may be involved in renal epithelial morphogenesis. This protein may also be involved in macrophage and granulocyte maturation. Abnormal recombination between this gene and a related pseudogene on chromosome Y is a frequent cause of sex reversal disorder in XX males and XY females. Pseudogenes of this gene are found on chromosomes X, 15 and Y. |
| Specification | |
|---|---|
| Aliases | PKX1 |
| Swissprot | P51817 |
| WB Predicted band size | 41 kDa |
| Host/Isotype | Rabbit IgG |
| Storage | Store at 4°C short term. Aliquot and store at -20°C long term. Avoid freeze/thaw cycles. |
| Species Reactivity | Human |
| Immunogen | Synthetic peptide of human PRKX |
| Formulation | pH7.4 PBS, 0.05% NaN3, 40% Glycerol |
| Application | |
|---|---|
| WB | 1/200-1/1000 |
| IHC | 1/15-1/50 |
| ELISA | 1/1000-1/2000 |
![]() |
Gel: 10%SDS-PAGE, Lysate: 40 μg, Lane 1-4: A549 cells, Jurkat cells, 293T cells, K562 cells, Primary antibody: P11229(PRKX Antibody) at dilution 1/200, Secondary antibody: Goat anti rabbit IgG at 1/8000 dilution, Exposure time: 20 seconds |
![]() |
The image is immunohistochemistry of paraffin-embedded Human liver cancer tissue using P11229(PRKX Antibody) at dilution 1/20. (Original magnification: ×200) |
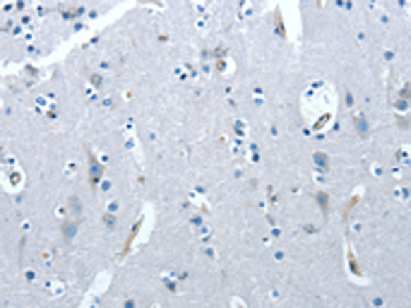
![]() |
The image is immunohistochemistry of paraffin-embedded Human brain tissue using P11229(PRKX Antibody) at dilution 1/20. (Original magnification: ×200) |
本公司的所有产品仅用于科学研究或者工业应用等非医疗目的,不可用于人类或动物的临床诊断或治疗,非药用,非食用。
暂无评论
本公司的所有产品仅用于科学研究或者工业应用等非医疗目的,不可用于人类或动物的临床诊断或治疗,非药用,非食用。
中文



发表回复