别名:PC; APC; PROC1; THPH3; THPH4应用:WB,IHC
反应种属:Human
规格:50μl/100μl
| Description |
|---|
| This gene encodes a vitamin K-dependent plasma glycoprotein. The encoded protein is cleaved to its activated form by the thrombin-thrombomodulin complex. This activated form contains a serine protease domain and functions in degradation of the activated forms of coagulation factors V and VIII. Mutations in this gene have been associated with thrombophilia due to protein C deficiency, neonatal purpura fulminans, and recurrent venous thrombosis. |
| Specification | |
|---|---|
| Aliases | PC; APC; PROC1; THPH3; THPH4 |
| Swissprot | P04070 |
| WB Predicted band size | 52 kDa |
| Host/Isotype | Rabbit IgG |
| Storage | Store at 4°C short term. Aliquot and store at -20°C long term. Avoid freeze/thaw cycles. |
| Species Reactivity | Human |
| Immunogen | Synthetic peptide of human PROC |
| Formulation | pH7.4 PBS, 0.05% NaN3, 40% Glycerol |
| Application | |
|---|---|
| WB | 1/500-1/2000 |
| IHC | 1/50-1/100 |
| ELISA | 1/5000-1/10000 |
![]() |
Gel: 8%SDS-PAGE, Lysate: 40 μg, Lane: SKOV3 cell lysate, Primary antibody: P06441(PROC Antibody) at dilution 1/1300, Secondary antibody: Goat anti rabbit IgG at 1/5000 dilution, Exposure time: 5 minutes |
![]() |
The image is immunohistochemistry of paraffin-embedded Human prostate cancer tissue using P06441(PROC Antibody) at dilution 1/80. (Original magnification: ×200) |
![]() |
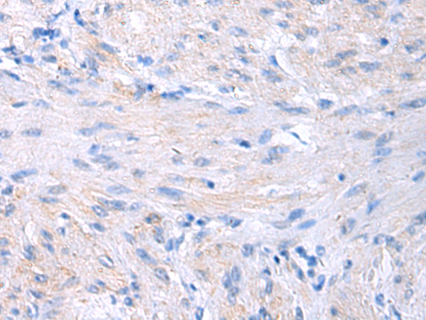
The image is immunohistochemistry of paraffin-embedded Human gastric cancer tissue using P06441(PROC Antibody) at dilution 1/80. (Original magnification: ×200) |
本公司的所有产品仅用于科学研究或者工业应用等非医疗目的,不可用于人类或动物的临床诊断或治疗,非药用,非食用。
暂无评论
本公司的所有产品仅用于科学研究或者工业应用等非医疗目的,不可用于人类或动物的临床诊断或治疗,非药用,非食用。
中文



发表回复