别名:KLK3; APS; Prostate-specific antigen; PSA; Gamma-seminoprotein; Seminin; Kallikrein-3; P-30 antigen; Semenogelase应用:WB,IHC
反应种属:Human
规格:50μl/100μl
| Description |
|---|
| PSA/KLK3 is a member of the glandular kallikrein subfamily of serine proteases. Upon cleavage of 7 amino-terminal amino acids, it is activated to liquefy semen in the seminal coagulum. Although PSA/KLK3 is produced in healthy individuals, investigators have found abnormally high levels in the blood of men with advanced prostate cancer. |
| Specification | |
|---|---|
| Aliases | KLK3; APS; Prostate-specific antigen; PSA; Gamma-seminoprotein; Seminin; Kallikrein-3; P-30 antigen; Semenogelase |
| Entrez GeneID | 354 |
| Swissprot | P07288 |
| WB Predicted band size | Calculated MW: 29 kDa; Observed MW: 29 kDa |
| Host/Isotype | Rabbit IgG |
| Storage | Store at 4°C short term. Aliquot and store at -20°C long term. Avoid freeze/thaw cycles. |
| Species Reactivity | Human |
| Immunogen | The antiserum was produced against synthesized peptide derived from the Internal region of human KLK3. AA range:131-180 |
| Formulation | Liquid in PBS containing 50% glycerol, 0.5% BSA and 0.02% sodium azide, pH 7.3. |
| Application | |
|---|---|
| WB | 1/500-1/1000 |
| IHC | 1/50-1/100 |
| ELISA | 1/10000 |
![]() |
Western blot analysis of Prostate Specific Antigen in NIH3T3 lysates using Prostate Specific Antigen antibody. |
![]() |
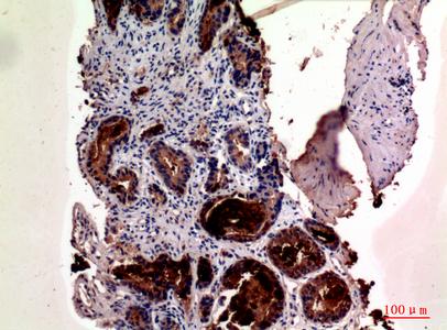
Immunohistochemistry analysis of paraffin-embedded Human prostatecancer using Prostate Specific Antigen antibody.High-pressure and temperature Sodium Citrate pH 6.0 was used for antigen retrieval. |
![]() |
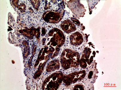
Immunohistochemistry analysis of paraffin-embedded Human prostatecancer using Prostate Specific Antigen antibody. High-pressure and temperature Sodium Citrate pH 6.0 was used for antigen retrieval. |
本公司的所有产品仅用于科学研究或者工业应用等非医疗目的,不可用于人类或动物的临床诊断或治疗,非药用,非食用。
暂无评论
本公司的所有产品仅用于科学研究或者工业应用等非医疗目的,不可用于人类或动物的临床诊断或治疗,非药用,非食用。
中文



发表回复